电话:
+86 (0512) 65829739
传真:
+86 (010) 6788 5057
电子邮件:
orders@antibodies-online.cn

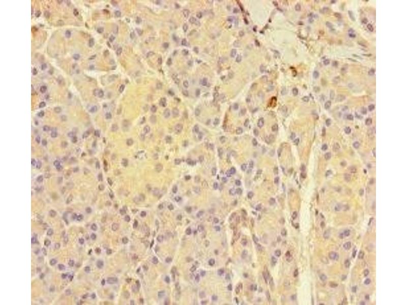
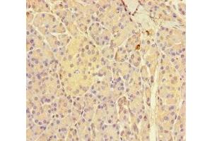
GNMT 抗体 (AA 2-295)

The 兔 多克隆 anti-GNMT antibody (ABIN7154182) specifically detects GNMT in ELISA, IHC 和 IF. The antibody is reactive with 人 samples.
产品编号 ABIN7154182
发货至: 中国
Contact our Customer Service for availability and price in your country. Contact Info

Our Local Distributor

中国
北京 101111
No. 88 KeChuang 6th Street
Beijing Economic Technological Development Area
Room 801-803
4A Biotech Co.,Ltd.
Tel +86 (0512) 65829739 传真 +86 (010) 6788 5057

Quick Overview for GNMT 抗体 (AA 2-295) (ABIN7154182)

抗原

See all GNMT 抗体
GNMT (Glycine N-Methyltransferase (GNMT))

适用

  • 57
  • 19
  • 13
  • 4
  • 3
  • 3
  • 3
  • 3
  • 2
  • 2
  • 1
  • 1

宿主

  • 47
  • 10

克隆类型

  • 48
  • 8
多克隆

标记

  • 27
  • 4
  • 4
  • 3
  • 1
  • 1
  • 1
  • 1
  • 1
  • 1
  • 1
  • 1
  • 1
  • 1
  • 1
  • 1
  • 1
  • 1
  • 1
  • 1
  • 1
  • 1
  • 1
This GNMT antibody is un-conjugated

应用范围

  • 43
  • 17
  • 13
  • 13
  • 5
  • 5
  • 3
  • 3
  • 3
  • 3
  • 2
  • 1
ELISA, Immunohistochemistry (IHC), Immunofluorescence (IF)
  • 抗原表位

    • 15
    • 10
    • 7
    • 5
    • 3
    • 2
    • 2
    • 1
    • 1
    • 1
    • 1
    AA 2-295

    原理

    GNMT Antibody

    纯化方法

    Protein G purified

    纯度

    >95 %

    免疫原

    Recombinant Human Glycine N-methyltransferase protein (2-295AA)

    亚型

    IgG
  • 应用备注

    Optimal working dilution should be determined by the investigator.

    限制

    仅限研究用
  • 状态

    Liquid

    缓冲液

    Preservative: 0.03 % Proclin 300
    Constituents: 50 % Glycerol, 0.01M PBS, PH 7.4

    储存液

    ProClin

    注意事项

    This product contains ProClin: a POISONOUS AND HAZARDOUS SUBSTANCE which should be handled by trained staff only.

    储存条件

    -20 °C,-80 °C

    储存方法

    Upon receipt, store at -20°C or -80°C. Avoid repeated freeze.
  • 抗原

    GNMT (Glycine N-Methyltransferase (GNMT))

    别名

    GNMT

    背景

    Background: Catalyzes the methylation of glycine by using S-adenosylmethionine (AdoMet) to form N-methylglycine (sarcosine) with the concomitant production of S-adenosylhomocysteine (AdoHcy). Possible crucial role in the regulation of tissue concentration of AdoMet and of metabolism of methionine.

    Aliases: EC 2.1.1.20 antibody, Epididymis secretory sperm binding protein Li 182mP antibody, Glycine N methyltransferase antibody, Glycine N-methyltransferase antibody, Gnmt antibody, GNMT_HUMAN antibody, HEL S 182mP antibody, OTTHUMP00000016412 antibody

    UniProt

    Q14749

    途径

    Cellular Glucan Metabolic Process, Regulation of Carbohydrate Metabolic Process
You are here: