电话:
+86 (0512) 65829739
传真:
+86 (010) 6788 5057
电子邮件:
orders@antibodies-online.cn

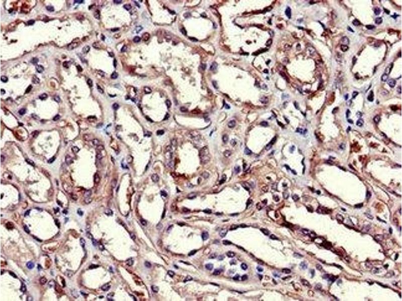
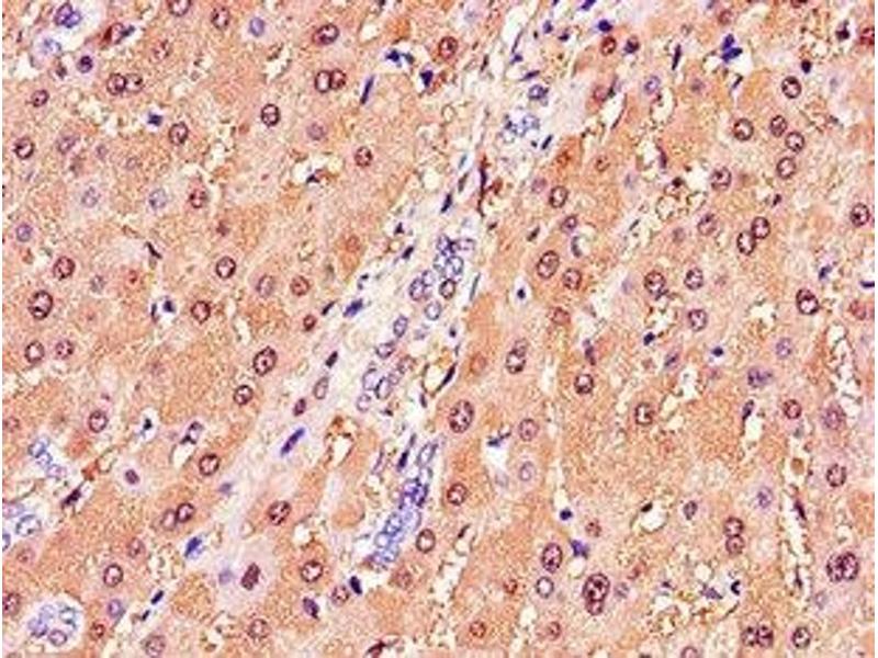
GSTA1 抗体 (AA 2-222)

The 兔 多克隆 anti-GSTA1 antibody is suitable to detect GSTA1 in samples from 人. It has been validated for WB, IHC, ELISA 和 IF.
产品编号 ABIN7154085
发货至: 中国
Contact our Customer Service for availability and price in your country. Contact Info

Our Local Distributor

中国
北京 101111
No. 88 KeChuang 6th Street
Beijing Economic Technological Development Area
Room 801-803
4A Biotech Co.,Ltd.
Tel +86 (0512) 65829739 传真 +86 (010) 6788 5057

Quick Overview for GSTA1 抗体 (AA 2-222) (ABIN7154085)

抗原

See all GSTA1 抗体
GSTA1 (Glutathione S-Transferase alpha 1 (GSTA1))

适用

  • 63
  • 33
  • 18
  • 2
  • 1
  • 1

宿主

  • 66
  • 25

克隆类型

  • 67
  • 24
多克隆

标记

  • 45
  • 13
  • 13
  • 4
  • 4
  • 4
  • 2
  • 1
  • 1
  • 1
  • 1
  • 1
  • 1
This GSTA1 antibody is un-conjugated

应用范围

  • 61
  • 29
  • 23
  • 19
  • 15
  • 12
  • 11
  • 5
  • 5
  • 5
  • 4
  • 2
Western Blotting (WB), Immunohistochemistry (IHC), ELISA, Immunofluorescence (IF)
  • 抗原表位

    • 15
    • 15
    • 8
    • 6
    • 3
    • 2
    • 2
    • 1
    • 1
    • 1
    AA 2-222

    原理

    GSTA1 Antibody

    交叉反应

    小鼠

    纯化方法

    Protein G purified

    纯度

    >95 %

    免疫原

    Recombinant Human Glutathione S-transferase A1 protein (2-222AA)

    亚型

    IgG
  • 应用备注

    Optimal working dilution should be determined by the investigator.

    限制

    仅限研究用
  • 状态

    Liquid

    缓冲液

    Preservative: 0.03 % Proclin 300
    Constituents: 50 % Glycerol, 0.01M PBS, PH 7.4

    储存液

    ProClin

    注意事项

    This product contains ProClin: a POISONOUS AND HAZARDOUS SUBSTANCE which should be handled by trained staff only.

    储存条件

    -20 °C,-80 °C

    储存方法

    Upon receipt, store at -20°C or -80°C. Avoid repeated freeze.
  • 抗原

    GSTA1 (Glutathione S-Transferase alpha 1 (GSTA1))

    别名

    GSTA1

    背景

    Background: Conjugation of reduced glutathione to a wide number of exogenous and endogenous hydrophobic electrophiles.

    Aliases: Glutathione S alkyltransferase A1 antibody, Glutathione S aryltransferase A1 antibody, Glutathione S transferase 2 antibody, Glutathione S transferase A1 antibody, Glutathione S transferase alpha 1 antibody, Glutathione S transferase Ha subunit 1 antibody, Glutathione S-transferase A1 antibody, GST class-alpha member 1 antibody, GST epsilon antibody, GST HA subunit 1 antibody, GST, class alpha, 1 antibody, GST-epsilon antibody, GST2 antibody, GSTA1 1 antibody, GSTA1 antibody, GSTA1-1 antibody, GSTA1_HUMAN antibody, GTH1 antibody, HA subunit 1 antibody, MGC131939 antibody, OTTHUMP00000016611 antibody, S (hydroxyalkyl)glutathione lyase A1 antibody

    UniProt

    P08263
You are here: