电话:
+86 (0512) 65829739
传真:
+86 (010) 6788 5057
电子邮件:
orders@antibodies-online.cn

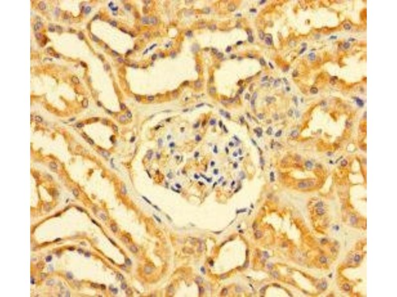
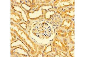
GATD3A (AA 43-268) 抗体

This 兔 多克隆 antibody specifically detects GATD3A in ELISA, IHC 和 WB. It exhibits reactivity toward 人.
产品编号 ABIN7154018
发货至: 中国
Contact our Customer Service for availability and price in your country. Contact Info

Our Local Distributor

中国
北京 101111
No. 88 KeChuang 6th Street
Beijing Economic Technological Development Area
Room 801-803
4A Biotech Co.,Ltd.
Tel +86 (0512) 65829739 传真 +86 (010) 6788 5057

Quick Overview for GATD3A (AA 43-268) 抗体 (ABIN7154018)

抗原

GATD3A

适用

宿主

  • 4

克隆类型

  • 4
多克隆

标记

  • 2
  • 1
  • 1
非结合性

应用范围

ELISA, Immunohistochemistry (IHC), Western Blotting (WB)
  • 抗原表位

    AA 43-268

    原理

    GATD3A Antibody

    纯化方法

    Protein G purified

    纯度

    >95 %

    免疫原

    Recombinant Human Glutamine amidotransferase-like class 1 domain-containing protein 3A, mitochondrial protein (43-268AA)

    亚型

    IgG
  • 应用备注

    Optimal working dilution should be determined by the investigator.

    限制

    仅限研究用
  • 状态

    Liquid

    缓冲液

    Preservative: 0.03 % Proclin 300
    Constituents: 50 % Glycerol, 0.01M PBS, PH 7.4

    储存液

    ProClin

    注意事项

    This product contains ProClin: a POISONOUS AND HAZARDOUS SUBSTANCE which should be handled by trained staff only.

    储存条件

    -20 °C,-80 °C

    储存方法

    Upon receipt, store at -20°C or -80°C. Avoid repeated freeze.
  • 抗原

    GATD3A

    背景

    GATD3A antibody, C21orf33 antibody, Glutamine amidotransferase-like class 1 domain-containing protein 3A antibody, mitochondrial antibody

    UniProt

    P0DPI2
You are here: