电话:
+86 (0512) 65829739
传真:
+86 (010) 6788 5057
电子邮件:
orders@antibodies-online.cn

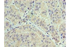
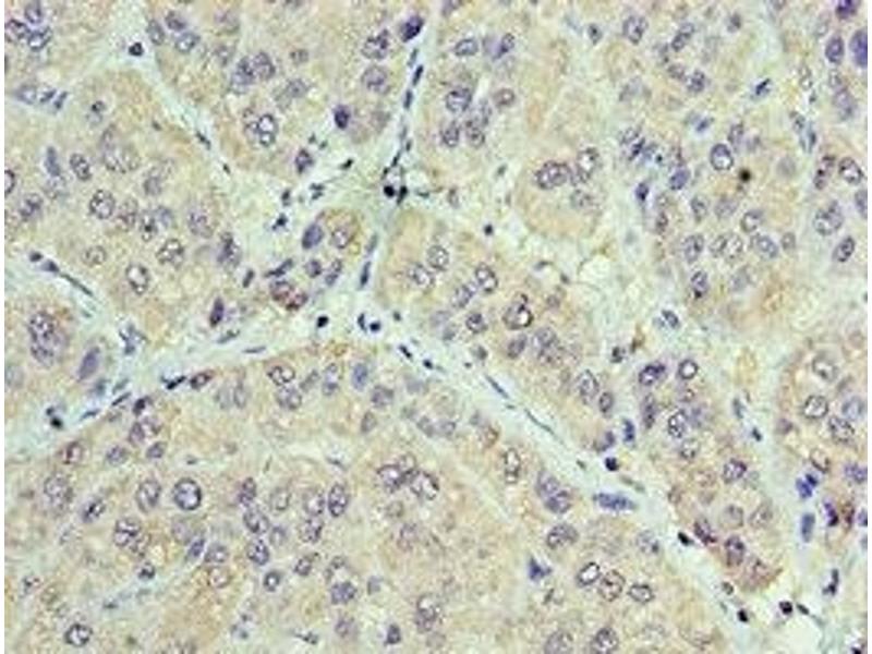
GAN 抗体 (AA 1-240)

The 兔 多克隆 anti-GAN antibody is suitable to detect GAN in samples from 人. It has been validated for ELISA 和 IHC.
产品编号 ABIN7153848
发货至: 中国
Contact our Customer Service for availability and price in your country. Contact Info

Our Local Distributor

中国
北京 101111
No. 88 KeChuang 6th Street
Beijing Economic Technological Development Area
Room 801-803
4A Biotech Co.,Ltd.
Tel +86 (0512) 65829739 传真 +86 (010) 6788 5057

Quick Overview for GAN 抗体 (AA 1-240) (ABIN7153848)

抗原

See all GAN 抗体
GAN (Gigaxonin (GAN))

适用

  • 20
  • 15
  • 6
  • 4
  • 4
  • 4
  • 3
  • 3
  • 2
  • 1
  • 1
  • 1

宿主

  • 26
  • 4

克隆类型

  • 27
  • 3
多克隆

标记

  • 16
  • 1
  • 1
  • 1
  • 1
  • 1
  • 1
  • 1
  • 1
  • 1
  • 1
  • 1
  • 1
  • 1
  • 1
This GAN antibody is un-conjugated

应用范围

  • 13
  • 13
  • 11
  • 8
  • 7
  • 3
  • 3
  • 3
  • 3
  • 2
  • 1
  • 1
ELISA, Immunohistochemistry (IHC)
  • 抗原表位

    • 15
    • 2
    • 2
    • 2
    • 1
    • 1
    • 1
    • 1
    AA 1-240

    原理

    GAN Antibody

    纯化方法

    Antigen Affinity Purified

    免疫原

    Recombinant Human Gigaxonin protein (1-240AA)

    亚型

    IgG
  • 应用备注

    Optimal working dilution should be determined by the investigator.

    限制

    仅限研究用
  • 状态

    Liquid

    缓冲液

    PBS with 0.02 % sodium azide, 50 % glycerol, pH 7.3.

    储存液

    Sodium azide

    注意事项

    This product contains Sodium azide: a POISONOUS AND HAZARDOUS SUBSTANCE which should be handled by trained staff only.

    储存条件

    -20 °C,-80 °C

    储存方法

    Upon receipt, store at -20°C or -80°C. Avoid repeated freeze.
  • 抗原

    GAN (Gigaxonin (GAN))

    别名

    GAN

    背景

    Background: Probable cytoskeletal component that directly or indirectly plays an important role in neurofilament architecture. May act as a substrate-specific adapter of an E3 ubiquitin-protein ligase complex which mediates the ubiquitination and subsequent proteasomal degradation of target proteins. Controls degradation of TBCB. Controls degradation of MAP1B and MAP1S, and is critical for neuronal maintenance and survival.

    Aliases: FLJ38059 antibody, GAN (gene name) antibody, GAN antibody, GAN_HUMAN antibody, GAN1 (gene name) antibody, Gigaxonin antibody, Kelch-like protein 16 antibody, KLHL16 antibody

    UniProt

    Q9H2C0
You are here: