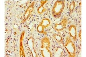
Non-Syndromic Hearing Impairment Protein 5 (GSDME) (AA 1-260) 抗体
Our Local Distributor
北京 101111
Quick Overview for Non-Syndromic Hearing Impairment Protein 5 (GSDME) (AA 1-260) 抗体 (ABIN7153663)
抗原
适用
宿主
克隆类型
标记
应用范围
-
-
抗原表位
- AA 1-260
-
原理
- GSDME Antibody
-
纯化方法
- Antigen Affinity Purified
-
免疫原
- Recombinant Human Gasdermin-E protein (1-260AA)
-
亚型
- IgG
-
-
-
-
应用备注
- Optimal working dilution should be determined by the investigator.
-
限制
- 仅限研究用
-
-
-
状态
- Liquid
-
缓冲液
- PBS with 0.02 % sodium azide, 50 % glycerol, pH 7.3.
-
储存液
- Sodium azide
-
注意事项
- This product contains Sodium azide: a POISONOUS AND HAZARDOUS SUBSTANCE which should be handled by trained staff only.
-
储存条件
- -20 °C,-80 °C
-
储存方法
- Upon receipt, store at -20°C or -80°C. Avoid repeated freeze.
-
-
- Non-Syndromic Hearing Impairment Protein 5 (GSDME)
-
别名
- GSDME
-
背景
-
Background: Involved in apoptosis and cell survival. Plays a role in the TP53-regulated cellular response to DNA damage probably by cooperating with TP53.
Aliases: 2310037D07Rik antibody, 4932441K13Rik antibody, Deafness, autosomal dominant 5 antibody, Deafness, autosomal dominant 5 protein antibody, DFNA5 antibody, DFNA5 gene antibody, DFNA5_HUMAN antibody, Dfna5h antibody, EG14210 antibody, Fin15 antibody, ICERE 1 antibody, ICERE-1 antibody, Inversely correlated with estrogen receptor expression 1 antibody, Non-syndromic hearing impairment protein 5 antibody, Nonsyndromic hearing impairment protein antibody
-
UniProt
- O60443
抗原
-