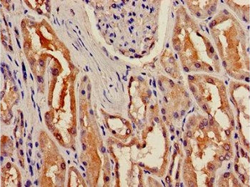
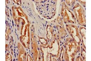
BBOX1 抗体 (AA 154-247)
Our Local Distributor
北京 101111
Quick Overview for BBOX1 抗体 (AA 154-247) (ABIN7153530)
抗原
See all BBOX1 抗体适用
宿主
克隆类型
标记
应用范围
-
-
抗原表位
- AA 154-247
-
原理
- BBOX1 Antibody
-
纯化方法
- Protein G purified
-
纯度
- >95 %
-
免疫原
- Recombinant Human Gamma-butyrobetaine dioxygenase protein (154-247AA)
-
亚型
- IgG
-
-
-
-
应用备注
- Optimal working dilution should be determined by the investigator.
-
限制
- 仅限研究用
-
-
-
状态
- Liquid
-
缓冲液
-
Preservative: 0.03 % Proclin 300
Constituents: 50 % Glycerol, 0.01M PBS, pH 7.4 -
储存液
- ProClin
-
注意事项
- This product contains ProClin: a POISONOUS AND HAZARDOUS SUBSTANCE which should be handled by trained staff only.
-
储存条件
- -20 °C,-80 °C
-
储存方法
- Upon receipt, store at -20°C or -80°C. Avoid repeated freeze.
-
-
- BBOX1 (butyrobetaine (Gamma), 2-Oxoglutarate Dioxygenase (Gamma-butyrobetaine Hydroxylase) 1 (BBOX1))
-
别名
- BBOX1
-
背景
-
Background: Catalyzes the formation of L-carnitine from gamma-butyrobetaine.
Aliases: 2-oxoglutarate dioxygenase antibody, BBH antibody, BBOX 1 antibody, BBOX antibody, Bbox1 antibody, BODG_HUMAN antibody, Butyrobetaine (gamma) 2 oxoglutarate dioxygenase (gamma butyrobetaine hydroxylase) 1 antibody, G BBH antibody, Gamma BBH antibody, Gamma butyrobetaine 2 oxoglutarate dioxygenase 1 antibody, Gamma butyrobetaine dioxygenase antibody, Gamma butyrobetaine hydroxylase antibody, Gamma-BBH antibody, Gamma-butyrobetaine antibody, Gamma-butyrobetaine dioxygenase antibody, Gamma-butyrobetaine hydroxylase antibody
-
UniProt
- O75936
抗原
-