电话:
+86 (0512) 65829739
传真:
+86 (010) 6788 5057
电子邮件:
orders@antibodies-online.cn

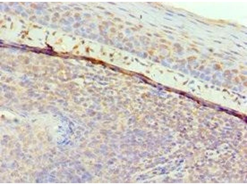
GAL 抗体 (AA 20-123)

This 兔 多克隆 antibody specifically detects GAL in ELISA 和 IHC. It exhibits reactivity toward 人.
产品编号 ABIN7153430
发货至: 中国
Contact our Customer Service for availability and price in your country. Contact Info

Our Local Distributor

中国
北京 101111
No. 88 KeChuang 6th Street
Beijing Economic Technological Development Area
Room 801-803
4A Biotech Co.,Ltd.
Tel +86 (0512) 65829739 传真 +86 (010) 6788 5057

Quick Overview for GAL 抗体 (AA 20-123) (ABIN7153430)

抗原

See all GAL 抗体
GAL (Galanin Prepropeptide (GAL))

适用

  • 24
  • 6
  • 4
  • 2

宿主

  • 21
  • 6
  • 1

克隆类型

  • 23
  • 5
多克隆

标记

  • 21
  • 1
  • 1
  • 1
  • 1
  • 1
  • 1
  • 1
This GAL antibody is un-conjugated

应用范围

  • 18
  • 10
  • 8
  • 4
  • 3
  • 2
  • 2
  • 1
  • 1
ELISA, Immunohistochemistry (IHC)
  • 抗原表位

    • 3
    • 3
    • 2
    • 2
    • 2
    • 1
    • 1
    • 1
    • 1
    • 1
    • 1
    • 1
    • 1
    • 1
    AA 20-123

    原理

    GAL Antibody

    纯化方法

    Antigen Affinity Purified

    免疫原

    Recombinant Human Galanin peptides protein (20-123AA)

    亚型

    IgG
  • 应用备注

    Optimal working dilution should be determined by the investigator.

    限制

    仅限研究用
  • 状态

    Liquid

    缓冲液

    PBS with 0.02 % sodium azide, 50 % glycerol, pH 7.3.

    储存液

    Sodium azide

    注意事项

    This product contains Sodium azide: a POISONOUS AND HAZARDOUS SUBSTANCE which should be handled by trained staff only.

    储存条件

    -20 °C,-80 °C

    储存方法

    Upon receipt, store at -20°C or -80°C. Avoid repeated freeze.
  • 抗原

    GAL (Galanin Prepropeptide (GAL))

    别名

    GAL

    背景

    Background: Contracts smooth muscle of the gastrointestinal and genitourinary tract, regulates growth hormone release, modulates insulin release, and may be involved in the control of adrenal secretion.

    Aliases: GAL 1 antibody, GAL antibody, GAL GMAP antibody, GAL1 antibody, GALA_HUMAN antibody, Galanin message associated peptide antibody, Galanin message-associated peptide antibody, Galanin precursor antibody, Galanin prepropeptide antibody, Galanin related peptide antibody, Galanin/GMAP prepropeptide antibody, GALN antibody, GLNN antibody, GMAP antibody, MGC40167 antibody

    UniProt

    P22466

    途径

    Hormone Transport, Regulation of Hormone Metabolic Process, Feeding Behaviour
You are here: