电话:
+86 (0512) 65829739
传真:
+86 (010) 6788 5057
电子邮件:
orders@antibodies-online.cn

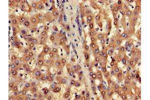
FUOM 抗体 (AA 1-134)

This 兔 多克隆 antibody specifically detects FUOM in ELISA, IHC 和 IF. It exhibits reactivity toward 人.
产品编号 ABIN7153223
发货至: 中国
Contact our Customer Service for availability and price in your country. Contact Info

Our Local Distributor

中国
北京 101111
No. 88 KeChuang 6th Street
Beijing Economic Technological Development Area
Room 801-803
4A Biotech Co.,Ltd.
Tel +86 (0512) 65829739 传真 +86 (010) 6788 5057

Quick Overview for FUOM 抗体 (AA 1-134) (ABIN7153223)

抗原

See all FUOM 抗体
FUOM (Fucose Mutarotase (FUOM))

适用

  • 12
  • 2
  • 1
  • 1
  • 1
  • 1
  • 1
  • 1

宿主

  • 12

克隆类型

  • 12
多克隆

标记

  • 2
  • 2
  • 1
  • 1
  • 1
  • 1
  • 1
  • 1
  • 1
  • 1
This FUOM antibody is un-conjugated

应用范围

ELISA, Immunohistochemistry (IHC), Immunofluorescence (IF)
  • 抗原表位

    • 4
    • 1
    • 1
    AA 1-134

    原理

    FUOM Antibody

    纯化方法

    Protein G purified

    纯度

    >95 %

    免疫原

    Recombinant Human Fucose mutarotase protein (1-134AA)

    亚型

    IgG
  • 应用备注

    Optimal working dilution should be determined by the investigator.

    限制

    仅限研究用
  • 状态

    Liquid

    缓冲液

    Preservative: 0.03 % Proclin 300
    Constituents: 50 % Glycerol, 0.01M PBS, PH 7.4

    储存液

    ProClin

    注意事项

    This product contains ProClin: a POISONOUS AND HAZARDOUS SUBSTANCE which should be handled by trained staff only.

    储存条件

    -20 °C,-80 °C

    储存方法

    Upon receipt, store at -20°C or -80°C. Avoid repeated freeze.
  • 抗原

    FUOM (Fucose Mutarotase (FUOM))

    别名

    FUOM

    背景

    Background: Involved in the interconversion between alpha- and beta-L-fucoses. L-Fucose (6-deoxy-L-galactose) exists as alpha-L-fucose (29.5 % ) and beta-L-fucose (70.5 %), the beta-form is metabolized through the salvage pathway. GDP-L-fucose formed either by the de novo or salvage pathways is transported into the endoplasmic reticulum, where it serves as a substrate for N- and O-glycosylations by fucosyltransferases. Fucosylated structures expressed on cell surfaces or secreted in biological fluids are believed to play a critical role in cell-cell adhesion and recognition processes.

    Aliases: FUOM antibody, C10orf125Fucose mutarotase antibody, EC 5.1.3.29 antibody

    UniProt

    A2VDF0
You are here: