电话:
+86 (0512) 65829739
传真:
+86 (010) 6788 5057
电子邮件:
orders@antibodies-online.cn

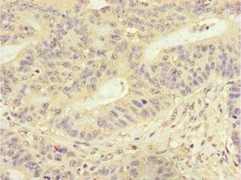
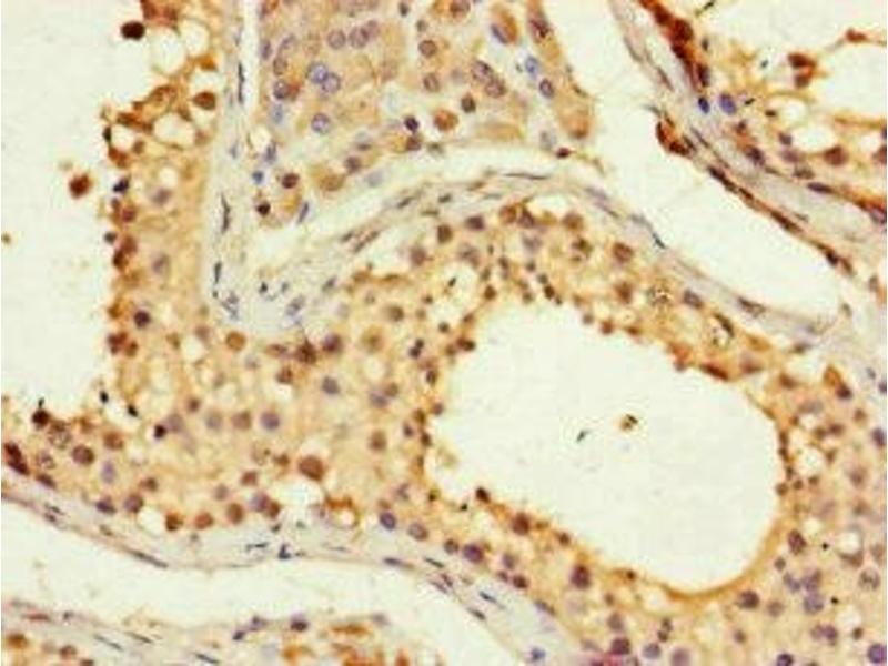
Formin-Like 3 抗体 (AA 2-212)

This 兔 多克隆 antibody specifically detects Formin-Like 3 in ELISA, IHC 和 IF. It exhibits reactivity toward 人.
产品编号 ABIN7153118
发货至: 中国
Contact our Customer Service for availability and price in your country. Contact Info

Our Local Distributor

中国
北京 101111
No. 88 KeChuang 6th Street
Beijing Economic Technological Development Area
Room 801-803
4A Biotech Co.,Ltd.
Tel +86 (0512) 65829739 传真 +86 (010) 6788 5057

Quick Overview for Formin-Like 3 抗体 (AA 2-212) (ABIN7153118)

抗原

See all Formin-Like 3 (FMNL3) 抗体
Formin-Like 3 (FMNL3)

适用

  • 11
  • 3
  • 2
  • 2
  • 2
  • 1
  • 1
  • 1

宿主

  • 9
  • 2

克隆类型

  • 11
多克隆

标记

  • 7
  • 2
  • 1
  • 1
This Formin-Like 3 antibody is un-conjugated

应用范围

ELISA, Immunohistochemistry (IHC), Immunofluorescence (IF)
  • 抗原表位

    • 4
    • 2
    • 1
    • 1
    • 1
    • 1
    • 1
    AA 2-212

    原理

    FMNL3 Antibody

    纯化方法

    Protein G purified

    纯度

    >95 %

    免疫原

    Recombinant Human Formin-like protein 3 protein (2-212AA)

    亚型

    IgG
  • 应用备注

    Optimal working dilution should be determined by the investigator.

    限制

    仅限研究用
  • 状态

    Liquid

    缓冲液

    Preservative: 0.03 % Proclin 300
    Constituents: 50 % Glycerol, 0.01M PBS, PH 7.4

    储存液

    ProClin

    注意事项

    This product contains ProClin: a POISONOUS AND HAZARDOUS SUBSTANCE which should be handled by trained staff only.

    储存条件

    -20 °C,-80 °C

    储存方法

    Upon receipt, store at -20°C or -80°C. Avoid repeated freeze.
  • 抗原

    Formin-Like 3 (FMNL3)

    别名

    FMNL3

    背景

    Background: Plays a role in the regulation of cell morphology and cytoskeletal organization. Required in the control of cell shape and migration. Required for developmental angiogenesis (By similarity). In this process, required for microtubule reorganization and for efficient endothelial cell elongation. In quiescent endothelial cells, triggers rearrangement of the actin cytoskeleton, but does not alter microtubule alignement.

    Aliases: FMNL3 antibody, FHOD3 antibody, FRL2 antibody, KIAA2014 antibody, WBP3 antibody, Formin-like protein 3 antibody, Formin homology 2 domain-containing protein 3 antibody, WW domain-binding protein 3 antibody, WBP-3 antibody

    UniProt

    Q8IVF7
You are here: