电话:
+86 (0512) 65829739
传真:
+86 (010) 6788 5057
电子邮件:
orders@antibodies-online.cn

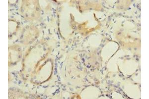
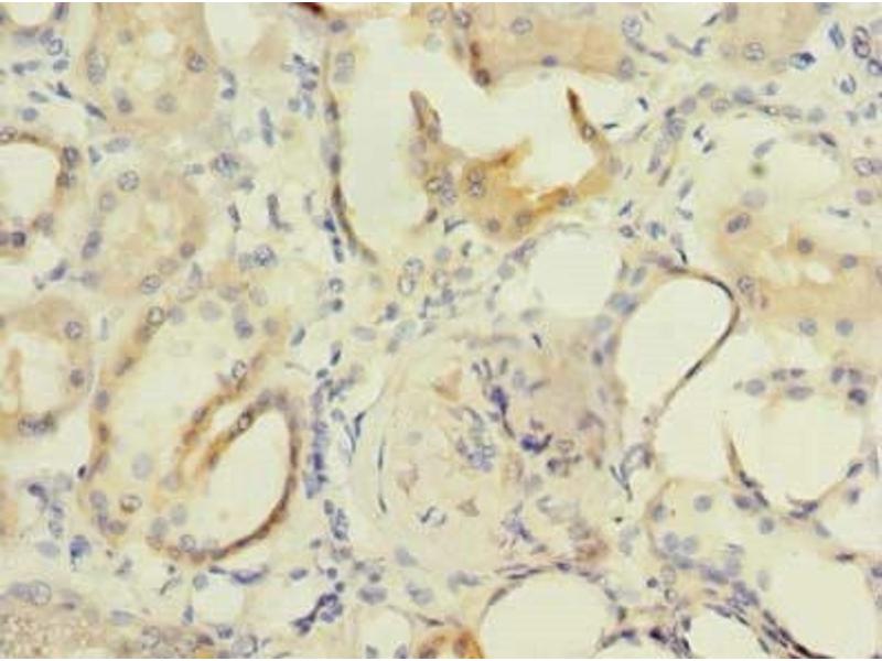
Formin-Like 1 抗体 (AA 207-457)

The 兔 多克隆 anti-Formin-Like 1 antibody (ABIN7153114) specifically detects Formin-Like 1 in ELISA 和 IHC. The antibody is reactive with 人 samples.
产品编号 ABIN7153114
发货至: 中国
Contact our Customer Service for availability and price in your country. Contact Info

Our Local Distributor

中国
北京 101111
No. 88 KeChuang 6th Street
Beijing Economic Technological Development Area
Room 801-803
4A Biotech Co.,Ltd.
Tel +86 (0512) 65829739 传真 +86 (010) 6788 5057

Quick Overview for Formin-Like 1 抗体 (AA 207-457) (ABIN7153114)

抗原

See all Formin-Like 1 (FMNL1) 抗体
Formin-Like 1 (FMNL1)

适用

  • 25
  • 5
  • 3
  • 1

宿主

  • 23
  • 3

克隆类型

  • 24
  • 2
多克隆

标记

  • 16
  • 2
  • 1
  • 1
  • 1
  • 1
  • 1
  • 1
  • 1
  • 1
This Formin-Like 1 antibody is un-conjugated

应用范围

  • 13
  • 8
  • 4
  • 3
  • 2
  • 1
  • 1
  • 1
  • 1
  • 1
  • 1
  • 1
ELISA, Immunohistochemistry (IHC)
  • 抗原表位

    • 5
    • 4
    • 2
    • 1
    • 1
    • 1
    • 1
    • 1
    AA 207-457

    原理

    FMNL1 Antibody

    纯化方法

    Protein G purified

    纯度

    >95 %

    免疫原

    Recombinant Human Formin-like protein 1 protein (207-457AA)

    亚型

    IgG
  • 应用备注

    Optimal working dilution should be determined by the investigator.

    限制

    仅限研究用
  • 状态

    Liquid

    缓冲液

    Preservative: 0.03 % Proclin 300
    Constituents: 50 % Glycerol, 0.01M PBS, PH 7.4

    储存液

    ProClin

    注意事项

    This product contains ProClin: a POISONOUS AND HAZARDOUS SUBSTANCE which should be handled by trained staff only.

    储存条件

    -20 °C,-80 °C

    储存方法

    Upon receipt, store at -20°C or -80°C. Avoid repeated freeze.
  • 抗原

    Formin-Like 1 (FMNL1)

    别名

    FMNL1

    背景

    Background: May play a role in the control of cell motility and survival of macrophages (By similarity). Plays a role in the regulation of cell morphology and cytoskeletal organization. Required in the cortical actin filament dynamics and cell shape.

    Aliases: 8030453N10Rik antibody, AI553564 antibody, C17orf1 antibody, C17orf1B antibody, CLL associated antigen KW 13 antibody, CLL-associated antigen KW-13 antibody, FHOD4 antibody, FMNL antibody, FMNL_HUMAN antibody, Fmnl1 antibody, Fnrl antibody, Formin like 1 antibody, Formin like antibody, Formin related protein antibody, Formin-like protein 1 antibody, Frls antibody, KW 13 antibody, KW13 antibody, Leukocyte formin antibody, MGC133052 antibody, MGC1894 antibody, MGC21878 antibody

    UniProt

    O95466
You are here: