电话:
+86 (0512) 65829739
传真:
+86 (010) 6788 5057
电子邮件:
orders@antibodies-online.cn

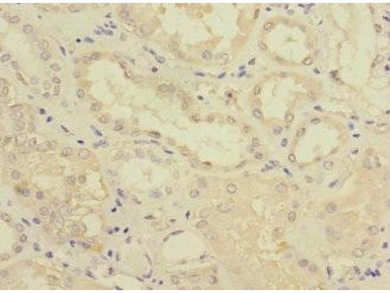
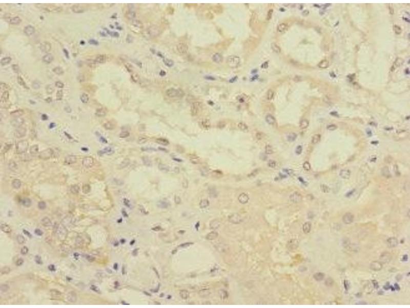
FTCD 抗体 (AA 412-541)

This 兔 多克隆 antibody specifically detects FTCD in WB, IHC 和 ELISA. It exhibits reactivity toward 人.
产品编号 ABIN7153109
发货至: 中国
Contact our Customer Service for availability and price in your country. Contact Info

Our Local Distributor

中国
北京 101111
No. 88 KeChuang 6th Street
Beijing Economic Technological Development Area
Room 801-803
4A Biotech Co.,Ltd.
Tel +86 (0512) 65829739 传真 +86 (010) 6788 5057

Quick Overview for FTCD 抗体 (AA 412-541) (ABIN7153109)

抗原

See all FTCD 抗体
FTCD (Formiminotransferase Cyclodeaminase (FTCD))

适用

  • 50
  • 15
  • 13
  • 9
  • 7
  • 6
  • 5
  • 5
  • 4
  • 4
  • 4
  • 4
  • 3
  • 2
  • 2
  • 1
  • 1
  • 1
  • 1
  • 1

宿主

  • 34
  • 13
  • 4

克隆类型

  • 32
  • 18
  • 1
多克隆

标记

  • 34
  • 3
  • 2
  • 2
  • 2
  • 2
  • 2
  • 2
  • 1
  • 1
This FTCD antibody is un-conjugated

应用范围

  • 42
  • 26
  • 19
  • 11
  • 10
  • 8
  • 4
  • 1
  • 1
  • 1
  • 1
Western Blotting (WB), Immunohistochemistry (IHC), ELISA
  • 抗原表位

    • 7
    • 2
    • 1
    • 1
    • 1
    • 1
    • 1
    • 1
    • 1
    AA 412-541

    原理

    FTCD Antibody

    纯化方法

    Antigen Affinity Purified

    免疫原

    Recombinant Human Formimidoyltransferase-cyclodeaminase protein (412-541AA)

    亚型

    IgG
  • 应用备注

    Optimal working dilution should be determined by the investigator.

    限制

    仅限研究用
  • 状态

    Liquid

    缓冲液

    PBS with 0.02 % sodium azide, 50 % glycerol, pH 7.3.

    储存液

    Sodium azide

    注意事项

    This product contains Sodium azide: a POISONOUS AND HAZARDOUS SUBSTANCE which should be handled by trained staff only.

    储存条件

    -20 °C,-80 °C

    储存方法

    Upon receipt, store at -20°C or -80°C. Avoid repeated freeze.
  • 抗原

    FTCD (Formiminotransferase Cyclodeaminase (FTCD))

    别名

    FTCD

    背景

    Background: Folate-dependent enzyme, that displays both transferase and deaminase activity. Serves to channel one-carbon units from formiminoglutamate to the folate pool.

    Aliases: Formimidoyltetrahydrofolate cyclodeaminase antibody, Formimidoyltransferase cyclodeaminase antibody, Formiminotetrahydrofolate cyclodeaminase antibody, Formiminotransferase cyclodeaminase antibody, Formiminotransferase-cyclodeaminase antibody, FTCD antibody, FTCD_HUMAN antibody, Glutamate formiminotransferase antibody, Glutamate formyltransferase antibody, LCHC 1 antibody, LCHC1 antibody

    UniProt

    O95954
You are here: