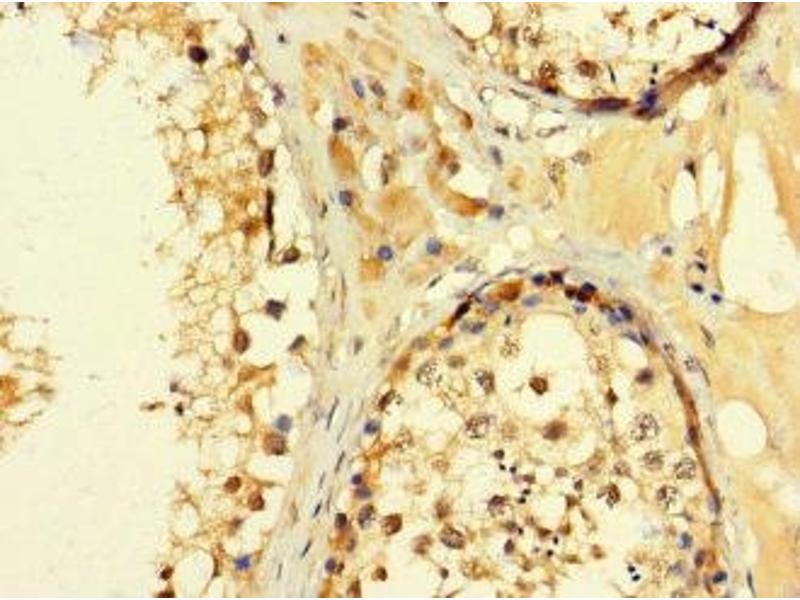
C2ORF83 抗体 (AA 29-150)
Our Local Distributor
北京 101111
Quick Overview for C2ORF83 抗体 (AA 29-150) (ABIN7152994)
抗原
适用
宿主
克隆类型
标记
应用范围
-
-
抗原表位
- AA 29-150
-
原理
- C2orf83 Antibody
-
纯化方法
- Protein G purified
-
纯度
- >95 %
-
免疫原
- Recombinant Human Folate transporter-like protein C2orf83 protein (29-150AA)
-
亚型
- IgG
-
-
-
-
应用备注
- Optimal working dilution should be determined by the investigator.
-
限制
- 仅限研究用
-
-
-
状态
- Liquid
-
缓冲液
-
Preservative: 0.03 % Proclin 300
Constituents: 50 % Glycerol, 0.01M PBS, PH 7.4 -
储存液
- ProClin
-
注意事项
- This product contains ProClin: a POISONOUS AND HAZARDOUS SUBSTANCE which should be handled by trained staff only.
-
储存条件
- -20 °C,-80 °C
-
储存方法
- Upon receipt, store at -20°C or -80°C. Avoid repeated freeze.
-
-
- C2ORF83 (Chromosome 2 Open Reading Frame 83 (C2ORF83))
-
别名
- C2orf83
-
背景
-
Background: integral component of plasma membrane, thiamine uptake transmembrane transporter activity, drug transmembrane transport, thiamine transmembrane transport, thiamine-containing compound metabolic process
Aliases: C2orf83 antibody, Folate transporter-like protein C2orf83 antibody
-
UniProt
- Q53S99
抗原
-