电话:
+86 (0512) 65829739
传真:
+86 (010) 6788 5057
电子邮件:
orders@antibodies-online.cn

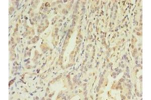
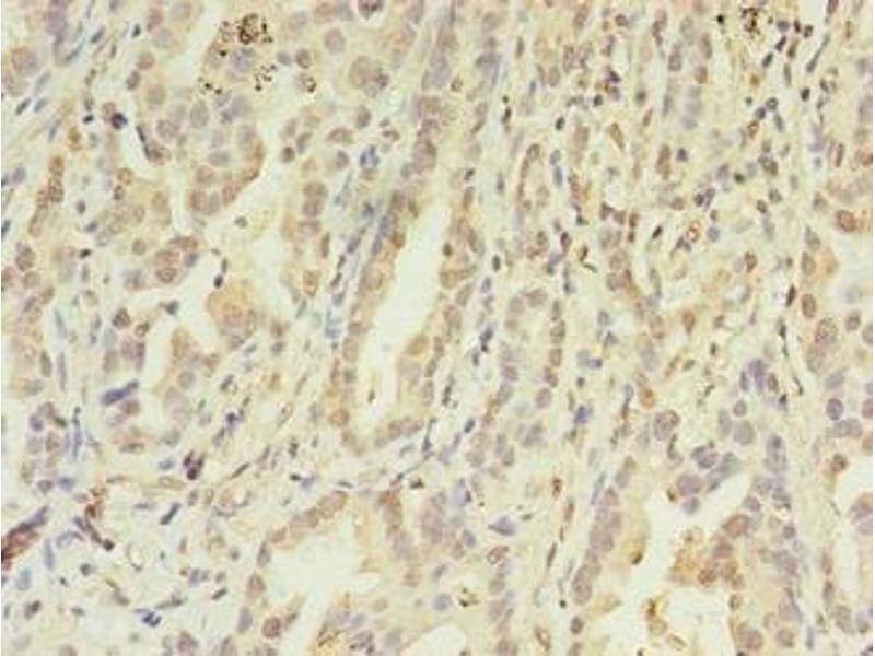
FGL2 抗体 (AA 24-439)

The 兔 多克隆 anti-FGL2 antibody is suitable to detect FGL2 in samples from 人. It has been validated for IHC 和 ELISA.
产品编号 ABIN7152867
发货至: 中国
Contact our Customer Service for availability and price in your country. Contact Info

Our Local Distributor

中国
北京 101111
No. 88 KeChuang 6th Street
Beijing Economic Technological Development Area
Room 801-803
4A Biotech Co.,Ltd.
Tel +86 (0512) 65829739 传真 +86 (010) 6788 5057

Quick Overview for FGL2 抗体 (AA 24-439) (ABIN7152867)

抗原

See all FGL2 抗体
FGL2 (Fibrinogen-Like 2 (FGL2))

适用

  • 50
  • 39
  • 25
  • 2
  • 2
  • 2
  • 1
  • 1
  • 1
  • 1
  • 1

宿主

  • 63
  • 10

克隆类型

  • 64
  • 9
多克隆

标记

  • 37
  • 6
  • 4
  • 3
  • 3
  • 3
  • 1
  • 1
  • 1
  • 1
  • 1
  • 1
  • 1
  • 1
  • 1
  • 1
  • 1
  • 1
  • 1
  • 1
  • 1
  • 1
  • 1
This FGL2 antibody is un-conjugated

应用范围

  • 58
  • 29
  • 24
  • 13
  • 13
  • 13
  • 10
  • 5
  • 4
  • 4
  • 3
  • 3
Immunohistochemistry (IHC), ELISA
  • 抗原表位

    • 16
    • 11
    • 7
    • 6
    • 5
    • 3
    • 2
    • 2
    • 2
    • 1
    • 1
    • 1
    • 1
    • 1
    • 1
    • 1
    • 1
    AA 24-439

    原理

    FGL2 Antibody

    纯化方法

    Protein G purified

    纯度

    >95 %

    免疫原

    Recombinant Human Fibroleukin protein (24-439AA)

    亚型

    IgG
  • 应用备注

    Optimal working dilution should be determined by the investigator.

    限制

    仅限研究用
  • 状态

    Liquid

    缓冲液

    Preservative: 0.03 % Proclin 300
    Constituents: 50 % Glycerol, 0.01M PBS, PH 7.4

    储存液

    ProClin

    注意事项

    This product contains ProClin: a POISONOUS AND HAZARDOUS SUBSTANCE which should be handled by trained staff only.

    储存条件

    -20 °C,-80 °C

    储存方法

    Upon receipt, store at -20°C or -80°C. Avoid repeated freeze.
  • 抗原

    FGL2 (Fibrinogen-Like 2 (FGL2))

    别名

    FGL2

    背景

    Background: May play a role in physiologic lymphocyte functions at mucosal sites.

    Aliases: FGL2 antibody, FGL2_HUMAN antibody, fibrinogen like 2 antibody, Fibrinogen like protein 2 antibody, Fibrinogen-like protein 2 antibody, Fibroleukin antibody, pT49 antibody, T49 antibody

    UniProt

    Q14314
You are here: