电话:
+86 (0512) 65829739
传真:
+86 (010) 6788 5057
电子邮件:
orders@antibodies-online.cn

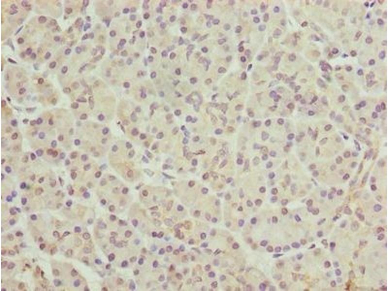
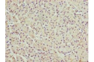
FAR2 抗体 (AA 1-300)

The 兔 多克隆 anti-FAR2 antibody is suitable to detect FAR2 in samples from 人. It has been validated for ELISA, IHC 和 IF.
产品编号 ABIN7152648
发货至: 中国
Contact our Customer Service for availability and price in your country. Contact Info

Our Local Distributor

中国
北京 101111
No. 88 KeChuang 6th Street
Beijing Economic Technological Development Area
Room 801-803
4A Biotech Co.,Ltd.
Tel +86 (0512) 65829739 传真 +86 (010) 6788 5057

Quick Overview for FAR2 抗体 (AA 1-300) (ABIN7152648)

抗原

See all FAR2 抗体
FAR2 (Fatty Acyl CoA Reductase 2 (FAR2))

适用

  • 22
  • 9
  • 6
  • 2
  • 2
  • 2
  • 2
  • 1
  • 1
  • 1
  • 1
  • 1

宿主

  • 22

克隆类型

  • 21
多克隆

标记

  • 12
  • 2
  • 1
  • 1
  • 1
  • 1
  • 1
  • 1
  • 1
  • 1
This FAR2 antibody is un-conjugated

应用范围

ELISA, Immunohistochemistry (IHC), Immunofluorescence (IF)
  • 抗原表位

    • 4
    • 2
    • 1
    • 1
    • 1
    AA 1-300

    原理

    FAR2 Antibody

    纯化方法

    Protein G purified

    纯度

    >95 %

    免疫原

    Recombinant Human Fatty acyl-CoA reductase 2 protein (1-300AA)

    亚型

    IgG
  • 应用备注

    Optimal working dilution should be determined by the investigator.

    限制

    仅限研究用
  • 状态

    Liquid

    缓冲液

    Preservative: 0.03 % Proclin 300
    Constituents: 50 % Glycerol, 0.01M PBS, PH 7.4

    储存液

    ProClin

    注意事项

    This product contains ProClin: a POISONOUS AND HAZARDOUS SUBSTANCE which should be handled by trained staff only.

    储存条件

    -20 °C,-80 °C

    储存方法

    Upon receipt, store at -20°C or -80°C. Avoid repeated freeze.
  • 抗原

    FAR2 (Fatty Acyl CoA Reductase 2 (FAR2))

    别名

    FAR2

    背景

    Background: Catalyzes the reduction of fatty acyl-CoA to fatty alcohols. The preferred substrates are C16, C18, C18:1 and C18:2 but low activity can be observed with C10-C14 substrates.

    Aliases: FAR2 antibody, MLSTD1Fatty acyl-CoA reductase 2 antibody, EC 1.2.1.84 antibody, Male sterility domain-containing protein 1 antibody

    UniProt

    Q96K12

    途径

    SARS-CoV-2 Protein Interactome
You are here: