电话:
+86 (0512) 65829739
传真:
+86 (010) 6788 5057
电子邮件:
orders@antibodies-online.cn

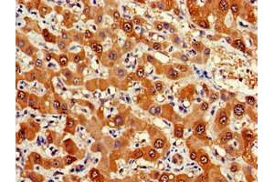
FDPS 抗体 (AA 1-419)

The 兔 多克隆 anti-FDPS antibody (ABIN7152571) specifically detects FDPS in WB, IHC, ELISA 和 IP. The antibody is reactive with 人 samples.
产品编号 ABIN7152571
发货至: 中国
Contact our Customer Service for availability and price in your country. Contact Info

Our Local Distributor

中国
北京 101111
No. 88 KeChuang 6th Street
Beijing Economic Technological Development Area
Room 801-803
4A Biotech Co.,Ltd.
Tel +86 (0512) 65829739 传真 +86 (010) 6788 5057

Quick Overview for FDPS 抗体 (AA 1-419) (ABIN7152571)

抗原

See all FDPS 抗体
FDPS (Farnesyl Diphosphate Synthase (FDPS))

适用

  • 69
  • 19
  • 14
  • 2
  • 2
  • 2
  • 2
  • 1
  • 1
  • 1
  • 1

宿主

  • 66
  • 10

克隆类型

  • 45
  • 31
多克隆

标记

  • 37
  • 6
  • 4
  • 3
  • 3
  • 3
  • 3
  • 3
  • 3
  • 3
  • 2
  • 2
  • 2
  • 2
This FDPS antibody is un-conjugated

应用范围

  • 60
  • 36
  • 25
  • 9
  • 6
  • 6
  • 4
  • 3
  • 2
  • 1
  • 1
  • 1
  • 1
Western Blotting (WB), Immunohistochemistry (IHC), ELISA, Immunoprecipitation (IP)
  • 抗原表位

    • 8
    • 7
    • 7
    • 3
    • 2
    • 2
    • 1
    • 1
    • 1
    • 1
    • 1
    • 1
    • 1
    • 1
    • 1
    AA 1-419

    原理

    FDPS Antibody

    纯化方法

    Protein G purified

    纯度

    >95 %

    免疫原

    Recombinant Human Farnesyl pyrophosphate synthase protein (1-419AA)

    亚型

    IgG
  • 应用备注

    Optimal working dilution should be determined by the investigator.

    限制

    仅限研究用
  • 状态

    Liquid

    缓冲液

    Preservative: 0.03 % Proclin 300
    Constituents: 50 % Glycerol, 0.01M PBS, pH 7.4

    储存液

    ProClin

    注意事项

    This product contains ProClin: a POISONOUS AND HAZARDOUS SUBSTANCE which should be handled by trained staff only.

    储存条件

    -20 °C,-80 °C

    储存方法

    Upon receipt, store at -20°C or -80°C. Avoid repeated freeze.
  • 抗原

    FDPS (Farnesyl Diphosphate Synthase (FDPS))

    别名

    FDPS

    背景

    Background: Key enzyme in isoprenoid biosynthesis which catalyzes the formation of farnesyl diphosphate (FPP), a precursor for several classes of essential metabolites including sterols, dolichols, carotenoids, and ubiquinones. FPP also serves as substrate for protein farnesylation and geranylgeranylation. Catalyzes the sequential condensation of isopentenyl pyrophosphate with the allylic pyrophosphates, dimethylallyl pyrophosphate, and then with the resultant geranylpyrophosphate to the ultimate product farnesyl pyrophosphate.

    Aliases: (2E antibody, (2E,6E) farnesyl diphosphate synthase antibody, 6E)-farnesyl diphosphate synthase antibody, Dimethylallyltranstransferase antibody, Farnesyl diphosphate synthase antibody, Farnesyl diphosphate synthetase antibody, Farnesyl pyrophosphate synthase antibody, Farnesyl pyrophosphate synthetase antibody, Fdps antibody, FPP synthase antibody, FPP synthetase antibody, FPPS antibody, FPPS_HUMAN antibody, FPS antibody, Geranyltranstransferase antibody

    UniProt

    P14324

    途径

    Regulation of Muscle Cell Differentiation
You are here: