电话:
+86 (0512) 65829739
传真:
+86 (010) 6788 5057
电子邮件:
orders@antibodies-online.cn

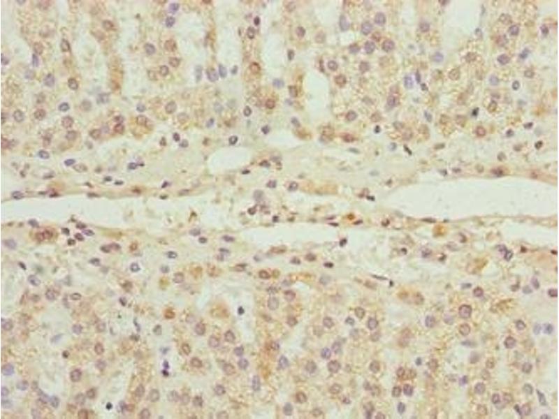
FAD Synthetase 抗体 (AA 1-490)

This 兔 多克隆 antibody specifically detects FAD Synthetase in WB, ELISA 和 IHC. It exhibits reactivity toward 人.
产品编号 ABIN7152521
发货至: 中国
Contact our Customer Service for availability and price in your country. Contact Info

Our Local Distributor

中国
北京 101111
No. 88 KeChuang 6th Street
Beijing Economic Technological Development Area
Room 801-803
4A Biotech Co.,Ltd.
Tel +86 (0512) 65829739 传真 +86 (010) 6788 5057

Quick Overview for FAD Synthetase 抗体 (AA 1-490) (ABIN7152521)

抗原

FAD Synthetase

适用

  • 21
  • 5
  • 4
  • 2
  • 2
  • 2
  • 2
  • 2
  • 1
  • 1
  • 1
  • 1

宿主

  • 21

克隆类型

  • 21
多克隆

标记

  • 12
  • 3
  • 2
  • 2
  • 1
  • 1
This FAD Synthetase antibody is un-conjugated

应用范围

  • 17
  • 12
  • 1
  • 1
  • 1
  • 1
  • 1
  • 1
  • 1
Western Blotting (WB), ELISA, Immunohistochemistry (IHC)
  • 抗原表位

    • 8
    • 4
    • 3
    • 2
    • 1
    • 1
    • 1
    • 1
    AA 1-490

    原理

    FLAD1 Antibody

    纯化方法

    Protein G purified

    纯度

    >95 %

    免疫原

    Recombinant Human FAD synthase protein (1-490AA)

    亚型

    IgG
  • 应用备注

    Optimal working dilution should be determined by the investigator.

    限制

    仅限研究用
  • 状态

    Liquid

    缓冲液

    Preservative: 0.03 % Proclin 300
    Constituents: 50 % Glycerol, 0.01M PBS, PH 7.4

    储存液

    ProClin

    注意事项

    This product contains ProClin: a POISONOUS AND HAZARDOUS SUBSTANCE which should be handled by trained staff only.

    储存条件

    -20 °C,-80 °C

    储存方法

    Upon receipt, store at -20°C or -80°C. Avoid repeated freeze.
  • 抗原

    FAD Synthetase

    别名

    FLAD1

    背景

    Background: Catalyzes the adenylation of flavin mononucleotide (FMN) to form flavin adenine dinucleotide (FAD) coenzyme.

    Aliases: FLAD1 antibody, PP591FAD synthase antibody, EC 2.7.7.2 antibody, FAD pyrophosphorylase antibody, FMN adenylyltransferase antibody, Flavin adenine dinucleotide synthase) [Includes: Molybdenum cofactor biosynthesis protein-like region, FAD synthase region] antibody

    UniProt

    Q8NFF5
You are here: