电话:
+86 (0512) 65829739
传真:
+86 (010) 6788 5057
电子邮件:
orders@antibodies-online.cn

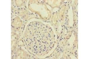
Exportin 6 抗体 (AA 290-530)

The 兔 多克隆 anti-Exportin 6 antibody (ABIN7152325) specifically detects Exportin 6 in IHC 和 ELISA. The antibody is reactive with 人 samples.
产品编号 ABIN7152325
发货至: 中国
Contact our Customer Service for availability and price in your country. Contact Info

Our Local Distributor

中国
北京 101111
No. 88 KeChuang 6th Street
Beijing Economic Technological Development Area
Room 801-803
4A Biotech Co.,Ltd.
Tel +86 (0512) 65829739 传真 +86 (010) 6788 5057

Quick Overview for Exportin 6 抗体 (AA 290-530) (ABIN7152325)

抗原

See all Exportin 6 (XPO6) 抗体
Exportin 6 (XPO6)

适用

  • 14
  • 4
  • 3
  • 1
  • 1
  • 1

宿主

  • 14

克隆类型

  • 14
多克隆

标记

  • 7
  • 1
  • 1
  • 1
  • 1
  • 1
  • 1
  • 1
This Exportin 6 antibody is un-conjugated

应用范围

  • 4
  • 3
  • 2
  • 2
  • 1
Immunohistochemistry (IHC), ELISA
  • 抗原表位

    • 2
    • 2
    • 1
    AA 290-530

    原理

    XPO6 Antibody

    纯化方法

    Antigen Affinity Purified

    免疫原

    Recombinant Human Exportin-6 protein (290-530AA)

    亚型

    IgG
  • 应用备注

    Optimal working dilution should be determined by the investigator.

    限制

    仅限研究用
  • 状态

    Liquid

    缓冲液

    PBS with 0.02 % sodium azide, 50 % glycerol, pH 7.3.

    储存液

    Sodium azide

    注意事项

    This product contains Sodium azide: a POISONOUS AND HAZARDOUS SUBSTANCE which should be handled by trained staff only.

    储存条件

    -20 °C,-80 °C

    储存方法

    Upon receipt, store at -20°C or -80°C. Avoid repeated freeze.
  • 抗原

    Exportin 6 (XPO6)

    别名

    XPO6

    背景

    Background: Mediates the nuclear export of actin and profilin-actin complexes in somatic cells.

    Aliases: Exp6 antibody, Exportin 6 antibody, Exportin-6 antibody, RAN binding protein 20 antibody, Ran-binding protein 20 antibody, RANBP20 antibody, xpo6 antibody, XPO6_HUMAN antibody

    UniProt

    Q96QU8
You are here: