电话:
+86 (0512) 65829739
传真:
+86 (010) 6788 5057
电子邮件:
orders@antibodies-online.cn

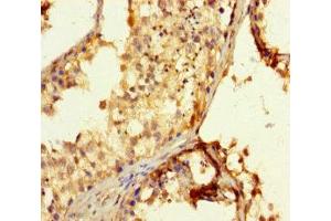
EXOSC3 抗体 (AA 2-275)

The 兔 多克隆 anti-EXOSC3 antibody is suitable to detect EXOSC3 in samples from 人. It has been validated for ELISA 和 IHC.
产品编号 ABIN7152285
发货至: 中国
Contact our Customer Service for availability and price in your country. Contact Info

Our Local Distributor

中国
北京 101111
No. 88 KeChuang 6th Street
Beijing Economic Technological Development Area
Room 801-803
4A Biotech Co.,Ltd.
Tel +86 (0512) 65829739 传真 +86 (010) 6788 5057

Quick Overview for EXOSC3 抗体 (AA 2-275) (ABIN7152285)

抗原

See all EXOSC3 抗体
EXOSC3 (Exosome Component 3 (EXOSC3))

适用

  • 36
  • 12
  • 8
  • 7
  • 7
  • 7
  • 7
  • 7
  • 4
  • 4
  • 2
  • 2
  • 2
  • 1
  • 1

宿主

  • 28
  • 8

克隆类型

  • 30
  • 6
多克隆

标记

  • 26
  • 2
  • 1
  • 1
  • 1
  • 1
  • 1
  • 1
  • 1
  • 1
This EXOSC3 antibody is un-conjugated

应用范围

  • 24
  • 11
  • 10
  • 5
  • 4
  • 4
  • 2
  • 2
ELISA, Immunohistochemistry (IHC)
  • 抗原表位

    • 5
    • 5
    • 4
    • 2
    • 1
    • 1
    • 1
    • 1
    • 1
    • 1
    • 1
    AA 2-275

    原理

    EXOSC3 Antibody

    纯化方法

    Protein G purified

    纯度

    >95 %

    免疫原

    Recombinant Human Exosome complex component RRP40 protein (2-275AA)

    亚型

    IgG
  • 应用备注

    Optimal working dilution should be determined by the investigator.

    限制

    仅限研究用
  • 状态

    Liquid

    缓冲液

    Preservative: 0.03 % Proclin 300
    Constituents: 50 % Glycerol, 0.01M PBS, PH 7.4

    储存液

    ProClin

    注意事项

    This product contains ProClin: a POISONOUS AND HAZARDOUS SUBSTANCE which should be handled by trained staff only.

    储存条件

    -20 °C,-80 °C

    储存方法

    Upon receipt, store at -20°C or -80°C. Avoid repeated freeze.
  • 抗原

    EXOSC3 (Exosome Component 3 (EXOSC3))

    别名

    EXOSC3

    背景

    Background: Non-catalytic component of the RNA exosome complex which has 3\'->5\' exoribonuclease activity and participates in a multitude of cellular RNA processing and degradation events. In the nucleus, the RNA exosome complex is involved in proper maturation of stable RNA species such as rRNA, snRNA and snoRNA, in the elimination of RNA processing by-products and non-coding \'pervasive\' transcripts, such as antisense RNA species and promoter-upstream transcripts (PROMPTs), and of mRNAs with processing defects, thereby limiting or excluding their export to the cytoplasm. The RNA exosome may be involved in Ig class switch recombination (CSR) and/or Ig variable region somatic hypermutation (SHM) by targeting AICDA deamination activity to transcribed dsDNA substrates. In the cytoplasm, the RNA exosome complex is involved in general mRNA turnover and specifically degrades inherently unstable mRNAs containing AU-rich elements (AREs) within their 3\' untranslated regions, and in RNA surveillance pathways, preventing translation of aberrant mRNAs. It seems to be involved in degradation of histone mRNA. The catalytic inactive RNA exosome core complex of 9 subunits (Exo-9) is proposed to play a pivotal role in the binding and presentation of RNA for ribonucleolysis, and to serve as a scaffold for the association with catalytic subunits and accessory proteins or complexes. EXOSC3 as peripheral part of the Exo-9 complex stabilizes the hexameric ring of RNase PH-domain subunits through contacts with EXOSC9 and EXOSC5.

    Aliases: EXOSC3 antibody, RRP40 antibody, CGI-102Exosome complex component RRP40 antibody, Exosome component 3 antibody, Ribosomal RNA-processing protein 40 antibody, p10 antibody

    UniProt

    Q9NQT5

    途径

    Regulation of Leukocyte Mediated Immunity, Positive Regulation of Immune Effector Process, Production of Molecular Mediator of Immune Response, SARS-CoV-2 Protein Interactome
You are here: