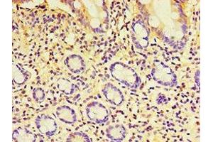
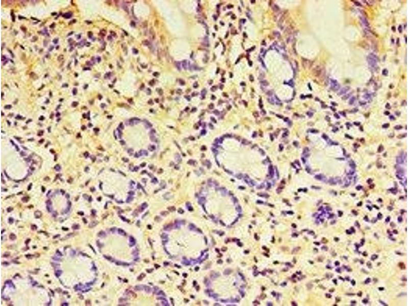
EXOC2 抗体 (AA 1-220)
Our Local Distributor
北京 101111
Quick Overview for EXOC2 抗体 (AA 1-220) (ABIN7152252)
抗原
See all EXOC2 抗体适用
宿主
克隆类型
标记
应用范围
-
-
抗原表位
- AA 1-220
-
原理
- EXOC2 Antibody
-
纯化方法
- Antigen Affinity Purified
-
免疫原
- Recombinant Human Exocyst complex component 2 protein (1-220AA)
-
亚型
- IgG
-
-
-
-
应用备注
- Optimal working dilution should be determined by the investigator.
-
限制
- 仅限研究用
-
-
-
状态
- Liquid
-
缓冲液
- PBS with 0.02 % sodium azide, 50 % glycerol, pH 7.3.
-
储存液
- Sodium azide
-
注意事项
- This product contains Sodium azide: a POISONOUS AND HAZARDOUS SUBSTANCE which should be handled by trained staff only.
-
储存条件
- -20 °C,-80 °C
-
储存方法
- Upon receipt, store at -20°C or -80°C. Avoid repeated freeze.
-
-
- EXOC2 (Exocyst Complex Component 2 (EXOC2))
-
别名
- EXOC2
-
背景
-
Background: Component of the exocyst complex involved in the docking of exocytic vesicles with fusion sites on the plasma membrane.
Aliases: EXOC2 antibody, EXOC2_HUMAN antibody, Exocyst complex component 2 antibody, Exocyst complex component Sec5 antibody, FLJ11026 antibody, SEC5 antibody, SEC5 like 1 antibody, SEC5L1 antibody, Sec5p antibody
-
UniProt
- Q96KP1
-
途径
- Peptide Hormone Metabolism, Regulation of Actin Filament Polymerization, Synaptic Vesicle Exocytosis
抗原
-