电话:
+86 (0512) 65829739
传真:
+86 (010) 6788 5057
电子邮件:
orders@antibodies-online.cn

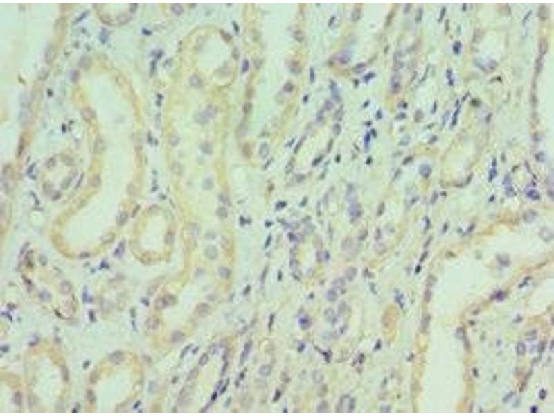
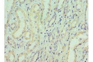
EIF3E 抗体 (AA 1-445)

The 兔 多克隆 anti-EIF3E antibody is suitable to detect EIF3E in samples from 人. It has been validated for ELISA 和 IHC.
产品编号 ABIN7152153
发货至: 中国
Contact our Customer Service for availability and price in your country. Contact Info

Our Local Distributor

中国
北京 101111
No. 88 KeChuang 6th Street
Beijing Economic Technological Development Area
Room 801-803
4A Biotech Co.,Ltd.
Tel +86 (0512) 65829739 传真 +86 (010) 6788 5057

Quick Overview for EIF3E 抗体 (AA 1-445) (ABIN7152153)

抗原

See all EIF3E 抗体
EIF3E (Eukaryotic Translation Initiation Factor 3 Subunit E (EIF3E))

适用

  • 53
  • 34
  • 28
  • 6
  • 6
  • 6
  • 6
  • 6
  • 6
  • 3
  • 3
  • 2
  • 1
  • 1

宿主

  • 50
  • 2
  • 1

克隆类型

  • 39
  • 14
多克隆

标记

  • 32
  • 3
  • 2
  • 2
  • 2
  • 2
  • 2
  • 2
  • 1
  • 1
  • 1
  • 1
  • 1
  • 1
This EIF3E antibody is un-conjugated

应用范围

  • 46
  • 15
  • 15
  • 11
  • 8
  • 6
  • 3
  • 3
  • 1
ELISA, Immunohistochemistry (IHC)
  • 抗原表位

    • 7
    • 4
    • 3
    • 2
    • 2
    • 2
    • 2
    • 1
    • 1
    • 1
    • 1
    • 1
    • 1
    • 1
    • 1
    • 1
    • 1
    AA 1-445

    原理

    EIF3E Antibody

    纯化方法

    Antigen Affinity Purified

    免疫原

    Recombinant Human Eukaryotic translation initiation factor 3 subunit E protein (1-445AA)

    亚型

    IgG
  • 应用备注

    Optimal working dilution should be determined by the investigator.

    限制

    仅限研究用
  • 状态

    Liquid

    缓冲液

    PBS with 0.02 % sodium azide, 50 % glycerol, pH 7.3.

    储存液

    Sodium azide

    注意事项

    This product contains Sodium azide: a POISONOUS AND HAZARDOUS SUBSTANCE which should be handled by trained staff only.

    储存条件

    -20 °C,-80 °C

    储存方法

    Upon receipt, store at -20°C or -80°C. Avoid repeated freeze.
  • 抗原

    EIF3E (Eukaryotic Translation Initiation Factor 3 Subunit E (EIF3E))

    别名

    EIF3E

    背景

    Background: Component of the eukaryotic translation initiation factor 3 (eIF-3) complex, which is required for several steps in the initiation of protein synthesis. The eIF-3 complex associates with the 40S ribosome and facilitates the recruitment of eIF-1, eIF-1A, eIF-2:GTP:methionyl-tRNAi and eIF-5 to form the 43S preinitiation complex (43S PIC). The eIF-3 complex stimulates mRNA recruitment to the 43S PIC and scanning of the mRNA for AUG recognition. The eIF-3 complex is also required for disassembly and recycling of post-termination ribosomal complexes and subsequently prevents premature joining of the 40S and 60S ribosomal subunits prior to initiation. Required for nonsense-mediated mRNA decay (NMD), may act in conjunction with UPF2 to divert mRNAs from translation to the NMD pathway. May interact with MCM7 and EPAS1 and regulate the proteasome-mediated degradation of these proteins.

    Aliases: eIF-3 p48 antibody, eIF3e antibody, EIF3E_HUMAN antibody, EIF3S6 antibody, eIFe antibody, Eukaryotic translation initiation factor 3 subunit 6 antibody, Eukaryotic translation initiation factor 3 subunit E antibody, eukaryotic translation initiation factor 3, subunit 6 (48kD) antibody, INT6 antibody, mammary tumor-associated protein INT6 antibody, murine mammary tumor integration site 6 (oncogene homolog) antibody, Viral integration site protein INT-6 homolog antibody

    UniProt

    P60228

    途径

    Ribonucleoprotein Complex Subunit Organization, Hepatitis C
You are here: