电话:
+86 (0512) 65829739
传真:
+86 (010) 6788 5057
电子邮件:
orders@antibodies-online.cn

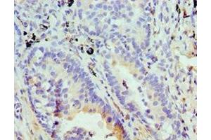
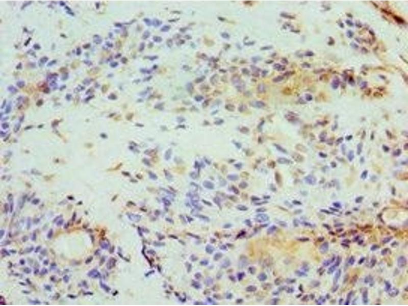
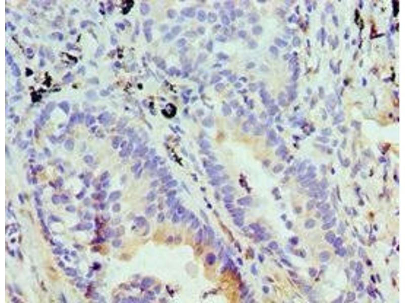
Stomatin 抗体 (AA 55-288)

This 兔 多克隆 antibody specifically detects Stomatin in WB, ELISA 和 IHC. It exhibits reactivity toward 人.
产品编号 ABIN7152008
发货至: 中国
Contact our Customer Service for availability and price in your country. Contact Info

Our Local Distributor

中国
北京 101111
No. 88 KeChuang 6th Street
Beijing Economic Technological Development Area
Room 801-803
4A Biotech Co.,Ltd.
Tel +86 (0512) 65829739 传真 +86 (010) 6788 5057

Quick Overview for Stomatin 抗体 (AA 55-288) (ABIN7152008)

抗原

See all Stomatin (STOM) 抗体
Stomatin (STOM)

适用

  • 22
  • 20
  • 6
  • 2
  • 2
  • 2
  • 2
  • 2
  • 2
  • 1
  • 1
  • 1
  • 1
  • 1

宿主

  • 27
  • 7
  • 1

克隆类型

  • 31
  • 3
多克隆

标记

  • 21
  • 1
  • 1
  • 1
  • 1
  • 1
  • 1
  • 1
  • 1
  • 1
  • 1
  • 1
  • 1
  • 1
  • 1
This Stomatin antibody is un-conjugated

应用范围

  • 19
  • 13
  • 13
  • 10
  • 6
  • 5
  • 5
  • 3
  • 2
  • 2
  • 1
  • 1
Western Blotting (WB), ELISA, Immunohistochemistry (IHC)
  • 抗原表位

    • 15
    • 4
    • 4
    • 2
    • 1
    • 1
    • 1
    • 1
    AA 55-288

    原理

    STOM Antibody

    交叉反应

    小鼠

    纯化方法

    Antigen Affinity Purified

    免疫原

    Recombinant Human Erythrocyte band 7 integral membrane protein (55-288AA)

    亚型

    IgG
  • 应用备注

    Optimal working dilution should be determined by the investigator.

    限制

    仅限研究用
  • 状态

    Liquid

    缓冲液

    PBS with 0.02 % sodium azide, 50 % glycerol, pH 7.3.

    储存液

    Sodium azide

    注意事项

    This product contains Sodium azide: a POISONOUS AND HAZARDOUS SUBSTANCE which should be handled by trained staff only.

    储存条件

    -20 °C,-80 °C

    储存方法

    Upon receipt, store at -20°C or -80°C. Avoid repeated freeze.
  • 抗原

    Stomatin (STOM)

    别名

    STOM

    背景

    Background: Regulates ion channel activity and transmembrane ion transport. Regulates ASIC2 and ASIC3 channel activity.

    Aliases: BND7 antibody, EPB7 antibody, EPB72 antibody, Erythrocyte band 7 integral membrane protein antibody, Erythrocyte membrane protein band 7.2 (stomatin) antibody, Erythrocyte surface protein band 7.2 antibody, Protein 7.2b antibody, STOM antibody, STOM_HUMAN antibody, Stomatin antibody

    UniProt

    P27105

    途径

    SARS-CoV-2 Protein Interactome
You are here: