电话:
+86 (0512) 65829739
传真:
+86 (010) 6788 5057
电子邮件:
orders@antibodies-online.cn

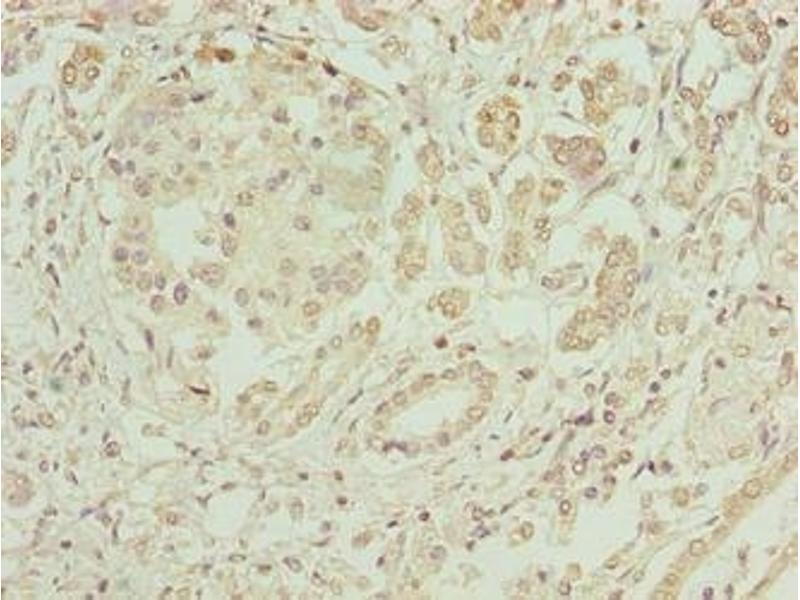
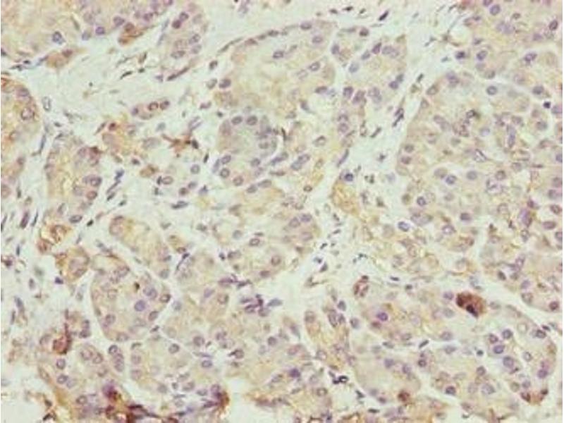
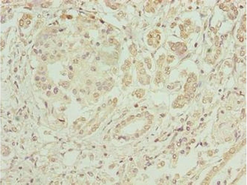
ERO1LB 抗体 (AA 101-400)

The 兔 多克隆 anti-ERO1LB antibody (ABIN7152004) specifically detects ERO1LB in WB, ELISA 和 IHC. The antibody is reactive with 人 samples.
产品编号 ABIN7152004
发货至: 中国
Contact our Customer Service for availability and price in your country. Contact Info

Our Local Distributor

中国
北京 101111
No. 88 KeChuang 6th Street
Beijing Economic Technological Development Area
Room 801-803
4A Biotech Co.,Ltd.
Tel +86 (0512) 65829739 传真 +86 (010) 6788 5057

Quick Overview for ERO1LB 抗体 (AA 101-400) (ABIN7152004)

抗原

See all ERO1LB 抗体
ERO1LB (ERO1-Like beta (ERO1LB))

适用

  • 27
  • 17
  • 17

宿主

  • 32

克隆类型

  • 32
多克隆

标记

  • 9
  • 4
  • 3
  • 3
  • 1
  • 1
  • 1
  • 1
  • 1
  • 1
  • 1
  • 1
  • 1
  • 1
  • 1
  • 1
  • 1
This ERO1LB antibody is un-conjugated

应用范围

  • 28
  • 14
  • 13
  • 13
  • 11
  • 9
  • 5
  • 3
  • 2
  • 2
Western Blotting (WB), ELISA, Immunohistochemistry (IHC)
  • 抗原表位

    • 15
    • 7
    • 5
    • 2
    • 1
    • 1
    AA 101-400

    原理

    ERO1B Antibody

    交叉反应

    小鼠

    纯化方法

    Protein G purified

    纯度

    >95 %

    免疫原

    Recombinant Human ERO1-like protein beta protein (101-400AA)

    亚型

    IgG
  • 应用备注

    Optimal working dilution should be determined by the investigator.

    限制

    仅限研究用
  • 状态

    Liquid

    缓冲液

    Preservative: 0.03 % Proclin 300
    Constituents: 50 % Glycerol, 0.01M PBS, PH 7.4

    储存液

    ProClin

    注意事项

    This product contains ProClin: a POISONOUS AND HAZARDOUS SUBSTANCE which should be handled by trained staff only.

    储存条件

    -20 °C,-80 °C

    储存方法

    Upon receipt, store at -20°C or -80°C. Avoid repeated freeze.
  • 抗原

    ERO1LB (ERO1-Like beta (ERO1LB))

    别名

    ERO1B

    背景

    Background: Oxidoreductase involved in disulfide bond formation in the endoplasmic reticulum. Efficiently reoxidizes P4HB/PDI, the enzyme catalyzing protein disulfide formation, in order to allow P4HB to sustain additional rounds of disulfide formation. Other protein disulfide isomerase family members can also be reoxidized, but at lower rates compared to P4HB, including PDIA2 (50 % of P4HB reoxidation rate), as well as PDIA3, PDIA4, PDIA6 and NXNDC12 (<10 %). Following P4HB reoxidation, passes its electrons to molecular oxygen via FAD, leading to the production of reactive oxygen species (ROS) in the cell. May be involved in oxidative proinsulin folding in pancreatic cells, hence may play a role in glucose homeostasis.

    Aliases: Endoplasmic oxidoreductin-1-like protein B antibody, Endoplasmic reticulum oxidoreductin-1-like protein B antibody, ERO1, S. cerevisiae, homolog of, beta antibody, ERO1-L-beta antibody, ERO1-like beta (S. cerevisiae) antibody, ERO1-like protein beta antibody, ERO1B_HUMAN antibody, Ero1lb antibody, Oxidoreductin-1-L-beta antibody

    UniProt

    Q86YB8

    途径

    SARS-CoV-2 Protein Interactome
You are here: