电话:
+86 (0512) 65829739
传真:
+86 (010) 6788 5057
电子邮件:
orders@antibodies-online.cn

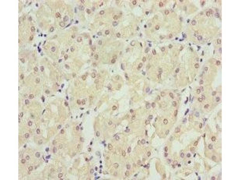
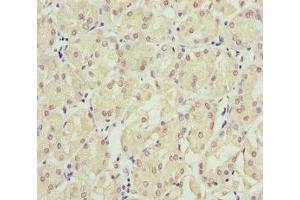
Eppin 抗体 (AA 22-133)

The 兔 多克隆 anti-Eppin antibody (ABIN7151953) specifically detects Eppin in ELISA 和 IHC. The antibody is reactive with 人 samples.
产品编号 ABIN7151953
发货至: 中国
Contact our Customer Service for availability and price in your country. Contact Info

Our Local Distributor

中国
北京 101111
No. 88 KeChuang 6th Street
Beijing Economic Technological Development Area
Room 801-803
4A Biotech Co.,Ltd.
Tel +86 (0512) 65829739 传真 +86 (010) 6788 5057

Quick Overview for Eppin 抗体 (AA 22-133) (ABIN7151953)

抗原

See all Eppin (SPINLW1) 抗体
Eppin (SPINLW1)

适用

  • 25
  • 17
  • 12

宿主

  • 26
  • 1

克隆类型

  • 26
  • 1
多克隆

标记

  • 6
  • 2
  • 1
  • 1
  • 1
  • 1
  • 1
  • 1
  • 1
  • 1
  • 1
  • 1
  • 1
  • 1
  • 1
  • 1
  • 1
  • 1
  • 1
  • 1
  • 1
This Eppin antibody is un-conjugated

应用范围

  • 13
  • 13
  • 6
  • 5
  • 3
  • 3
  • 1
  • 1
  • 1
ELISA, Immunohistochemistry (IHC)
  • 抗原表位

    • 2
    • 1
    AA 22-133

    原理

    EPPIN Antibody

    纯化方法

    Antigen Affinity Purified

    免疫原

    Recombinant Human Eppin protein (22-133AA)

    亚型

    IgG
  • 应用备注

    Optimal working dilution should be determined by the investigator.

    限制

    仅限研究用
  • 状态

    Liquid

    缓冲液

    PBS with 0.02 % sodium azide, 50 % glycerol, pH 7.3.

    储存液

    Sodium azide

    注意事项

    This product contains Sodium azide: a POISONOUS AND HAZARDOUS SUBSTANCE which should be handled by trained staff only.

    储存条件

    -20 °C,-80 °C

    储存方法

    Upon receipt, store at -20°C or -80°C. Avoid repeated freeze.
  • 抗原

    Eppin (SPINLW1)

    别名

    EPPIN

    背景

    Background: Serine protease inhibitor that plays an essential role in male reproduction and fertility. Modulates the hydrolysis of SEMG1 by KLK3/PSA (a serine protease), provides antimicrobial protection for spermatozoa in the ejaculate coagulum, and binds SEMG1 thereby inhibiting sperm motility.

    Aliases: Cancer/testis antigen 71 antibody, CT 71 antibody, CT71 antibody, dJ461P17.2 antibody, Epididymal protease inhibitor antibody, EPPI_HUMAN antibody, EPPIN 1 antibody, EPPIN 2 antibody, EPPIN 3 antibody, EPPIN antibody, EPPIN1 antibody, EPPIN2 antibody, EPPIN3 antibody, Protease inhibitor WAP7 antibody, Serine peptidase inhibitor like with Kunitz and WAP domains 1 (eppin) antibody, Serine peptidase inhibitor like with Kunitz and WAP domains 1 antibody, Serine protease inhibitor-like with Kunitz and WAP domains 1 antibody, SPINLW 1 antibody, WAP 7 antibody, WAP four disulfide core domain 7 antibody, WAP four disulfide core domain protein 7 antibody, WAP four-disulfide core domain protein 7 antibody, WAP7 antibody, WFDC 7 antibody, WFDC7 antibody

    UniProt

    O95925
You are here: