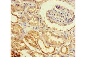
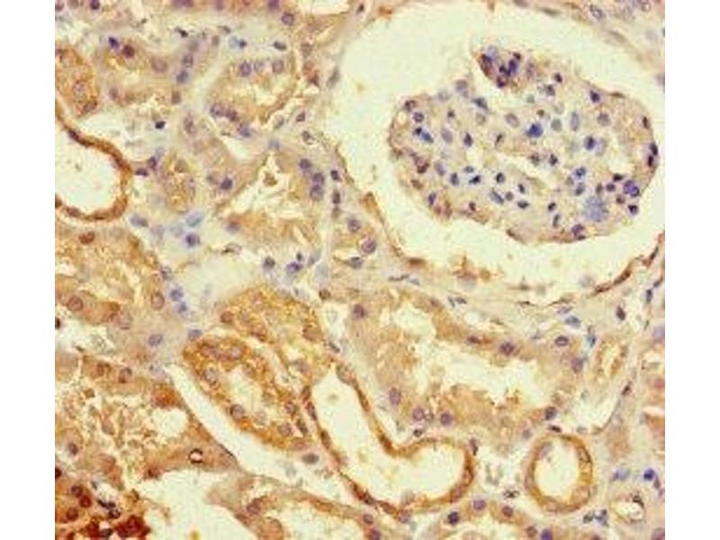
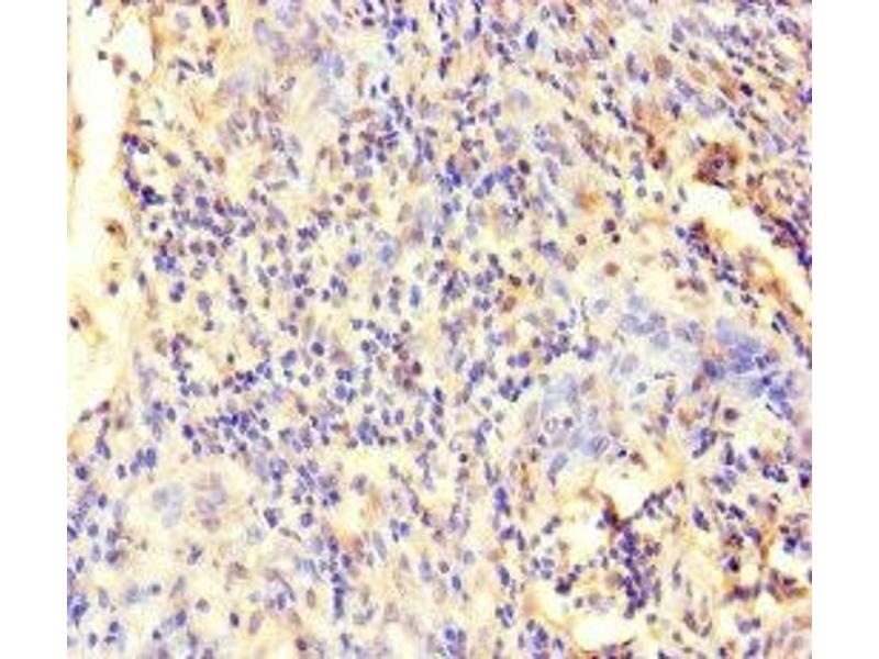
ECEL1 抗体 (AA 425-775)
Our Local Distributor
北京 101111
Quick Overview for ECEL1 抗体 (AA 425-775) (ABIN7151766)
抗原
See all ECEL1 抗体适用
宿主
克隆类型
标记
应用范围
-
-
抗原表位
- AA 425-775
-
原理
- ECEL1 Antibody
-
纯化方法
- Protein G purified
-
纯度
- >95 %
-
免疫原
- Recombinant Human Endothelin-converting enzyme-like 1 protein (425-775AA)
-
亚型
- IgG
-
-
-
-
应用备注
- Optimal working dilution should be determined by the investigator.
-
限制
- 仅限研究用
-
-
-
状态
- Liquid
-
缓冲液
-
Preservative: 0.03 % Proclin 300
Constituents: 50 % Glycerol, 0.01M PBS, PH 7.4 -
储存液
- ProClin
-
注意事项
- This product contains ProClin: a POISONOUS AND HAZARDOUS SUBSTANCE which should be handled by trained staff only.
-
储存条件
- -20 °C,-80 °C
-
储存方法
- Upon receipt, store at -20°C or -80°C. Avoid repeated freeze.
-
-
- ECEL1 (Endothelin Converting Enzyme-Like 1 (ECEL1))
-
别名
- ECEL1
-
背景
-
Background: May contribute to the degradation of peptide hormones and be involved in the inactivation of neuronal peptides.
Aliases: Ecel1 antibody, ECEL1_HUMAN antibody, Endothelin-converting enzyme-like 1 antibody, Xce protein antibody
-
UniProt
- O95672
抗原
-