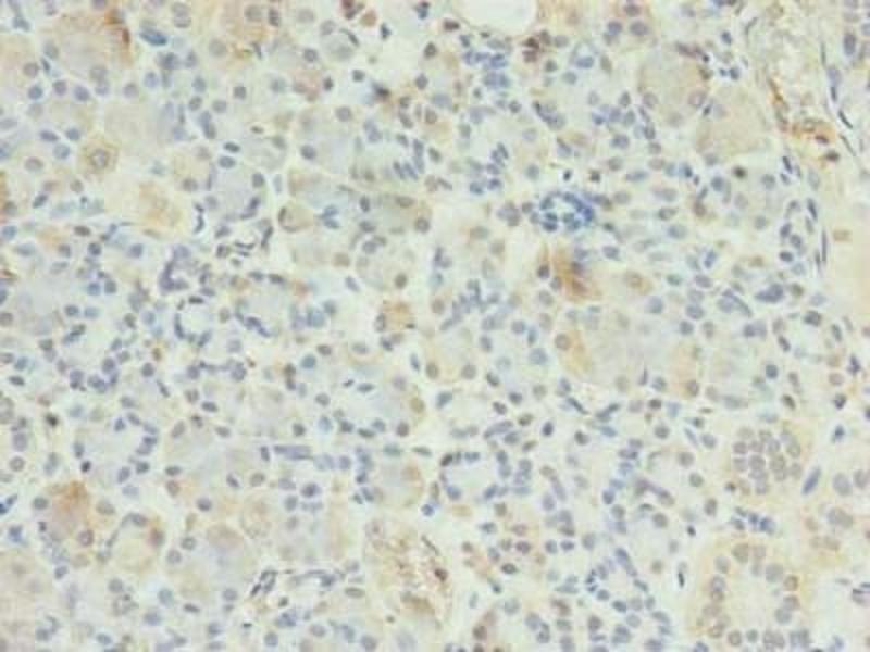
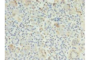
ERP27 抗体 (AA 26-273)
Our Local Distributor
北京 101111
Quick Overview for ERP27 抗体 (AA 26-273) (ABIN7151677)
抗原
See all ERP27 抗体适用
宿主
克隆类型
标记
应用范围
-
-
抗原表位
- AA 26-273
-
原理
- ERP27 Antibody
-
纯化方法
- Protein G purified
-
纯度
- >95 %
-
免疫原
- Recombinant Human Endoplasmic reticulum resident protein 27 protein (26-273AA)
-
亚型
- IgG
-
-
-
-
应用备注
- Optimal working dilution should be determined by the investigator.
-
限制
- 仅限研究用
-
-
-
状态
- Liquid
-
缓冲液
-
Preservative: 0.03 % Proclin 300
Constituents: 50 % Glycerol, 0.01M PBS, PH 7.4 -
储存液
- ProClin
-
注意事项
- This product contains ProClin: a POISONOUS AND HAZARDOUS SUBSTANCE which should be handled by trained staff only.
-
储存条件
- -20 °C,-80 °C
-
储存方法
- Upon receipt, store at -20°C or -80°C. Avoid repeated freeze.
-
-
- ERP27 (Endoplasmic Reticulum Protein 27 (ERP27))
-
别名
- ERP27
-
背景
- C12orf46 antibody, Chromosome 12 open reading frame 46 antibody, Endoplasmic reticulum protein 27 antibody, Endoplasmic reticulum protein 27 kDa antibody, Endoplasmic reticulum resident protein 27 antibody, Endoplasmic reticulum resident protein ERp27 antibody, ER protein 27 antibody, ERp 27 antibody, ERp27 antibody, ERP27_HUMAN antibody, FLJ32115 antibody, PDIA8 antibody, Protein disulfide isomerase family A, member 8 antibody
-
UniProt
- Q96DN0
抗原
-