电话:
+86 (0512) 65829739
传真:
+86 (010) 6788 5057
电子邮件:
orders@antibodies-online.cn

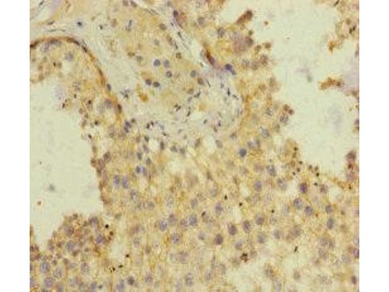
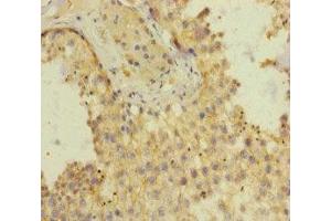
SH3GL3 抗体 (AA 1-270)

The 兔 多克隆 anti-SH3GL3 antibody is suitable to detect SH3GL3 in samples from 人. It has been validated for ELISA 和 IHC.
产品编号 ABIN7151643
发货至: 中国
Contact our Customer Service for availability and price in your country. Contact Info

Our Local Distributor

中国
北京 101111
No. 88 KeChuang 6th Street
Beijing Economic Technological Development Area
Room 801-803
4A Biotech Co.,Ltd.
Tel +86 (0512) 65829739 传真 +86 (010) 6788 5057

Quick Overview for SH3GL3 抗体 (AA 1-270) (ABIN7151643)

抗原

See all SH3GL3 抗体
SH3GL3 (Endophilin-A3 (SH3GL3))

适用

  • 20
  • 18
  • 8
  • 2
  • 2
  • 2
  • 2
  • 2
  • 1
  • 1
  • 1
  • 1

宿主

  • 32
  • 3

克隆类型

  • 34
  • 1
多克隆

标记

  • 16
  • 2
  • 2
  • 1
  • 1
  • 1
  • 1
  • 1
  • 1
  • 1
  • 1
  • 1
  • 1
  • 1
  • 1
  • 1
  • 1
  • 1
This SH3GL3 antibody is un-conjugated

应用范围

  • 14
  • 13
  • 13
  • 7
  • 5
  • 5
  • 4
  • 4
  • 3
  • 3
  • 2
  • 2
ELISA, Immunohistochemistry (IHC)
  • 抗原表位

    • 15
    • 3
    • 2
    • 2
    • 2
    • 2
    • 1
    • 1
    • 1
    • 1
    AA 1-270

    原理

    SH3GL3 Antibody

    纯化方法

    Antigen Affinity Purified

    免疫原

    Recombinant Human Endophilin-A3 protein (1-270AA)

    亚型

    IgG
  • 应用备注

    Optimal working dilution should be determined by the investigator.

    限制

    仅限研究用
  • 状态

    Liquid

    缓冲液

    PBS with 0.02 % sodium azide, 50 % glycerol, pH 7.3.

    储存液

    Sodium azide

    注意事项

    This product contains Sodium azide: a POISONOUS AND HAZARDOUS SUBSTANCE which should be handled by trained staff only.

    储存条件

    -20 °C,-80 °C

    储存方法

    Upon receipt, store at -20°C or -80°C. Avoid repeated freeze.
  • 抗原

    SH3GL3 (Endophilin-A3 (SH3GL3))

    别名

    SH3GL3

    背景

    Background: Implicated in endocytosis. May recruit other proteins to membranes with high curvature (By similarity).

    Aliases: CNSA3 antibody, EEN 2B L3 antibody, EEN B2 antibody, EEN-B2 antibody, EEN2BL3 antibody, EENB2 antibody, Endophilin 3 antibody, Endophilin A3 antibody, Endophilin-3 antibody, Endophilin-A3 antibody, H.sapiens mRNA for protein containing SH3 domain, SH3GL3 antibody, HsT19371 antibody, SH3 domain containing GRB2 like protein 3 antibody, SH3 domain GRB2 like 3 antibody, SH3 domain protein 2C antibody, SH3 domain-containing GRB2-like protein 3 antibody, SH3D2C antibody, SH3G3_HUMAN antibody, SH3GL3 antibody, SH3P13 antibody

    UniProt

    Q99963
You are here: