电话:
+86 (0512) 65829739
传真:
+86 (010) 6788 5057
电子邮件:
orders@antibodies-online.cn

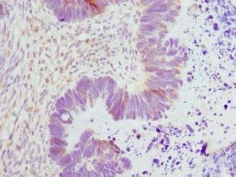
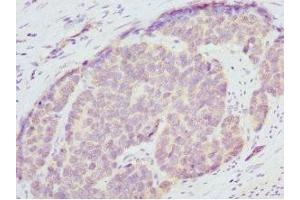
ENOX2 抗体 (AA 411-610)

The 兔 多克隆 anti-ENOX2 antibody (ABIN7151362) specifically detects ENOX2 in IHC 和 ELISA. The antibody is reactive with 人 samples.
产品编号 ABIN7151362
发货至: 中国
Contact our Customer Service for availability and price in your country. Contact Info

Our Local Distributor

中国
北京 101111
No. 88 KeChuang 6th Street
Beijing Economic Technological Development Area
Room 801-803
4A Biotech Co.,Ltd.
Tel +86 (0512) 65829739 传真 +86 (010) 6788 5057

Quick Overview for ENOX2 抗体 (AA 411-610) (ABIN7151362)

抗原

See all ENOX2 抗体
ENOX2 (Ecto-NOX Disulfide-Thiol Exchanger 2 (ENOX2))

适用

  • 20
  • 8
  • 4
  • 1
  • 1
  • 1
  • 1
  • 1
  • 1

宿主

  • 20
  • 1
  • 1

克隆类型

  • 22
多克隆

标记

  • 17
  • 1
  • 1
  • 1
  • 1
  • 1
This ENOX2 antibody is un-conjugated

应用范围

  • 21
  • 16
  • 11
  • 9
  • 4
  • 3
  • 3
  • 3
  • 1
Immunohistochemistry (IHC), ELISA
  • 抗原表位

    • 10
    • 5
    • 2
    • 1
    • 1
    • 1
    AA 411-610

    原理

    ENOX2 Antibody

    纯化方法

    Antigen Affinity Purified

    免疫原

    Recombinant Human Ecto-NOX disulfide-thiol exchanger 2 protein (411-610AA)

    亚型

    IgG
  • 应用备注

    Optimal working dilution should be determined by the investigator.

    限制

    仅限研究用
  • 状态

    Liquid

    缓冲液

    PBS with 0.02 % sodium azide, 50 % glycerol, pH 7.3.

    储存液

    Sodium azide

    注意事项

    This product contains Sodium azide: a POISONOUS AND HAZARDOUS SUBSTANCE which should be handled by trained staff only.

    储存条件

    -20 °C,-80 °C

    储存方法

    Upon receipt, store at -20°C or -80°C. Avoid repeated freeze.
  • 抗原

    ENOX2 (Ecto-NOX Disulfide-Thiol Exchanger 2 (ENOX2))

    别名

    ENOX2

    背景

    Background: May be involved in cell growth. Probably acts as a terminal oxidase of plasma electron transport from cytosolic NAD(P)H via hydroquinones to acceptors at the cell surface. Hydroquinone oxidase activity alternates with a protein disulfide-thiol interchange/oxidoreductase activity which may control physical membrane displacements associated with vesicle budding or cell enlargement. The activities oscillate with a period length of 22 minutes and play a role in control of the ultradian cellular biological clock.

    Aliases: APK1 antibody, APK1 antigen antibody, COVA1 antibody, Cytosolic ovarian carcinoma antigen 1 antibody, Ecto NOX disulfide thiol exchanger 2 antibody, ENOX 2 antibody, ENOX2 antibody, ENOX2_HUMAN antibody, OTTHUMP00000024021 antibody, OTTHUMP00000024022 antibody, Protein disulfide-thiol oxidoreductase antibody, tNOX antibody, Tumor associated hydroquinone oxidase antibody, Tumor-associated hydroquinone oxidase antibody

    UniProt

    Q16206
You are here: