电话:
+86 (0512) 65829739
传真:
+86 (010) 6788 5057
电子邮件:
orders@antibodies-online.cn

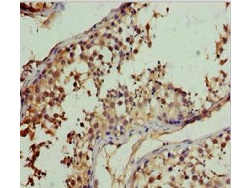
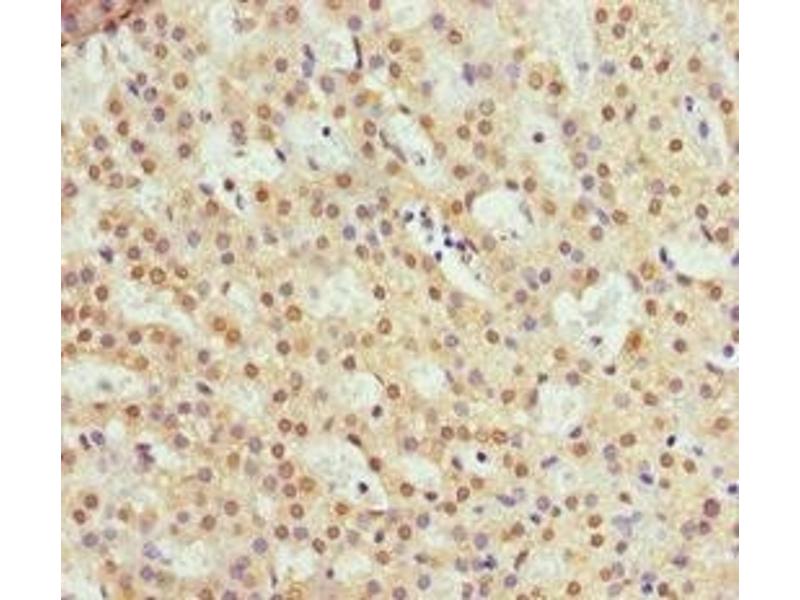
RFFL 抗体 (AA 1-190)

This 兔 多克隆 antibody specifically detects RFFL in ELISA 和 IHC. It exhibits reactivity toward 人.
产品编号 ABIN7151117
发货至: 中国
Contact our Customer Service for availability and price in your country. Contact Info

Our Local Distributor

中国
北京 101111
No. 88 KeChuang 6th Street
Beijing Economic Technological Development Area
Room 801-803
4A Biotech Co.,Ltd.
Tel +86 (0512) 65829739 传真 +86 (010) 6788 5057

Quick Overview for RFFL 抗体 (AA 1-190) (ABIN7151117)

抗原

See all RFFL 抗体
RFFL (Ring Finger and FYVE-Like Domain Containing 1 (RFFL))

适用

  • 41
  • 22
  • 6
  • 4
  • 3
  • 3
  • 3
  • 2
  • 2

宿主

  • 38
  • 3

克隆类型

  • 39
  • 2
多克隆

标记

  • 16
  • 2
  • 2
  • 2
  • 1
  • 1
  • 1
  • 1
  • 1
  • 1
  • 1
  • 1
  • 1
  • 1
  • 1
  • 1
  • 1
  • 1
  • 1
  • 1
  • 1
  • 1
  • 1
This RFFL antibody is un-conjugated

应用范围

  • 34
  • 16
  • 13
  • 13
  • 3
  • 3
  • 2
  • 1
ELISA, Immunohistochemistry (IHC)
  • 抗原表位

    • 15
    • 9
    • 2
    • 2
    • 2
    • 1
    • 1
    • 1
    • 1
    AA 1-190

    原理

    RFFL Antibody

    纯化方法

    Antigen Affinity Purified

    免疫原

    Recombinant Human E3 ubiquitin-protein ligase rififylin protein (1-190AA)

    亚型

    IgG
  • 应用备注

    Optimal working dilution should be determined by the investigator.

    限制

    仅限研究用
  • 状态

    Liquid

    缓冲液

    PBS with 0.02 % sodium azide, 50 % glycerol, pH 7.3.

    储存液

    Sodium azide

    注意事项

    This product contains Sodium azide: a POISONOUS AND HAZARDOUS SUBSTANCE which should be handled by trained staff only.

    储存条件

    -20 °C,-80 °C

    储存方法

    Upon receipt, store at -20°C or -80°C. Avoid repeated freeze.
  • 抗原

    RFFL (Ring Finger and FYVE-Like Domain Containing 1 (RFFL))

    别名

    RFFL

    背景

    Background: E3 ubiquitin-protein ligase that regulates several biological processes through the ubiquitin-mediated proteasomal degradation of various target proteins. Mediates \\\'Lys-48\\\'-linked polyubiquitination of PRR5L and its subsequent proteasomal degradation thereby indirectly regulating cell migration through the mTORC2 complex. Ubiquitinates the caspases CASP8 and CASP10, promoting their proteasomal degradation, to negatively regulate cell death downstream of death domain receptors in the extrinsic pathway of apoptosis. Negatively regulates the tumor necrosis factor-mediated signaling pathway through targeting of RIPK1 to ubiquitin-mediated proteasomal degradation. Negatively regulates p53/TP53 through its direct ubiquitination and targeting to proteasomal degradation. Indirectly, may also negatively regulate p53/TP53 through ubiquitination and degradation of SFN. May also play a role in endocytic recycling.

    Aliases: CARP-2 antibody, CARP2 antibody, Caspase regulator CARP2 antibody, Caspases 8 and 10 associated RING finger protein 2 antibody, caspases-8 and -10- associated RING finger protein 2 antibody, Caspases-8 and -10-associated RING finger protein 2 antibody, E3 ubiquitin protein ligase rififylin antibody, E3 ubiquitin-protein ligase rififylin antibody, Fring antibody, FYVE RING finger protein Sakura antibody, FYVE-RING finger protein Sakura antibody, Rffl antibody, RFFL_HUMAN antibody, Rififylin antibody, RING finger and FYVE like domain containing protein antibody, RING finger and FYVE-like domain-containing protein 1 antibody, RING finger protein 189 antibody, RING finger protein 34 like antibody, RING finger protein 34-like antibody, RNF189 antibody, RNF34L antibody

    UniProt

    Q8WZ73
You are here: