电话:
+86 (0512) 65829739
传真:
+86 (010) 6788 5057
电子邮件:
orders@antibodies-online.cn

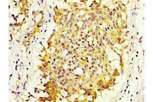
MKRN1 抗体 (AA 109-209)

The 兔 多克隆 anti-MKRN1 antibody (ABIN7151059) specifically detects MKRN1 in ELISA 和 IHC. The antibody is reactive with 人 samples.
产品编号 ABIN7151059
发货至: 中国
Contact our Customer Service for availability and price in your country. Contact Info

Our Local Distributor

中国
北京 101111
No. 88 KeChuang 6th Street
Beijing Economic Technological Development Area
Room 801-803
4A Biotech Co.,Ltd.
Tel +86 (0512) 65829739 传真 +86 (010) 6788 5057

Quick Overview for MKRN1 抗体 (AA 109-209) (ABIN7151059)

抗原

See all MKRN1 抗体
MKRN1 (Makorin Ring Finger Protein 1 (MKRN1))

适用

  • 30
  • 11
  • 8
  • 6
  • 5
  • 5
  • 4
  • 4
  • 3
  • 2
  • 2
  • 1

宿主

  • 25
  • 4
  • 1

克隆类型

  • 26
  • 4
多克隆

标记

  • 21
  • 3
  • 2
  • 2
  • 1
  • 1
This MKRN1 antibody is un-conjugated

应用范围

  • 24
  • 15
  • 3
  • 3
  • 2
  • 1
  • 1
ELISA, Immunohistochemistry (IHC)
  • 抗原表位

    • 7
    • 5
    • 4
    • 3
    • 1
    • 1
    • 1
    • 1
    • 1
    • 1
    AA 109-209

    原理

    MKRN1 Antibody

    纯化方法

    Protein G purified

    纯度

    >95 %

    免疫原

    Recombinant Human E3 ubiquitin-protein ligase makorin-1 protein (109-209AA)

    亚型

    IgG
  • 应用备注

    Optimal working dilution should be determined by the investigator.

    限制

    仅限研究用
  • 状态

    Liquid

    缓冲液

    Preservative: 0.03 % Proclin 300
    Constituents: 50 % Glycerol, 0.01M PBS, pH 7.4

    储存液

    ProClin

    注意事项

    This product contains ProClin: a POISONOUS AND HAZARDOUS SUBSTANCE which should be handled by trained staff only.

    储存条件

    -20 °C,-80 °C

    储存方法

    Upon receipt, store at -20°C or -80°C. Avoid repeated freeze.
  • 抗原

    MKRN1 (Makorin Ring Finger Protein 1 (MKRN1))

    别名

    MKRN1

    背景

    Background: E3 ubiquitin ligase catalyzing the covalent attachment of ubiquitin moieties onto substrate proteins. These substrates include FILIP1, p53/TP53, CDKN1A and TERT. Keeps cells alive by suppressing p53/TP53 under normal conditions, but stimulates apoptosis by repressing CDKN1A under stress conditions. Acts as a negative regulator of telomerase. Has negative and positive effects on RNA polymerase II-dependent transcription.

    Aliases: E3 ubiquitin-protein ligase makorin-1 antibody, FLJ21334 antibody, HGNC:7112 antibody, Makorin antibody, Makorin ring finger protein 1 antibody, MKRN 1 antibody, mkrn1 antibody, MKRN1_HUMAN antibody, OTTHUMP00000212117 antibody, OTTHUMP00000212118 antibody, OTTHUMP00000212121 antibody, OTTHUMP00000212124 antibody, Ring finger protein 1 antibody, RING finger protein 61 antibody, RNF61 antibody

    UniProt

    Q9UHC7

    途径

    Chromatin Binding
You are here: