电话:
+86 (0512) 65829739
传真:
+86 (010) 6788 5057
电子邮件:
orders@antibodies-online.cn

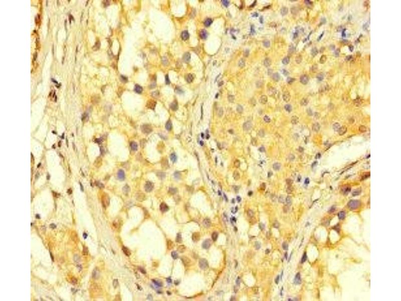
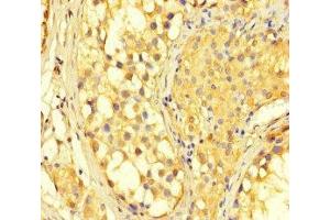
RNF20 抗体 (AA 1-100)

The 兔 多克隆 anti-RNF20 antibody (ABIN7150987) specifically detects RNF20 in ELISA 和 IHC. The antibody is reactive with 人 samples.
产品编号 ABIN7150987
发货至: 中国
Contact our Customer Service for availability and price in your country. Contact Info

Our Local Distributor

中国
北京 101111
No. 88 KeChuang 6th Street
Beijing Economic Technological Development Area
Room 801-803
4A Biotech Co.,Ltd.
Tel +86 (0512) 65829739 传真 +86 (010) 6788 5057

Quick Overview for RNF20 抗体 (AA 1-100) (ABIN7150987)

抗原

See all RNF20 抗体
RNF20 (Ring Finger Protein 20 (RNF20))

适用

  • 99
  • 56
  • 24
  • 5
  • 4
  • 4
  • 3
  • 3
  • 2
  • 2
  • 2
  • 1

宿主

  • 89
  • 10

克隆类型

  • 59
  • 40
多克隆

标记

  • 43
  • 7
  • 4
  • 4
  • 4
  • 4
  • 4
  • 4
  • 4
  • 4
  • 2
  • 2
  • 1
  • 1
  • 1
  • 1
  • 1
  • 1
  • 1
  • 1
  • 1
  • 1
  • 1
  • 1
  • 1
This RNF20 antibody is un-conjugated

应用范围

  • 75
  • 30
  • 25
  • 24
  • 23
  • 22
  • 13
  • 7
  • 5
  • 1
ELISA, Immunohistochemistry (IHC)
  • 抗原表位

    • 7
    • 7
    • 3
    • 3
    • 3
    • 2
    • 2
    • 2
    • 2
    • 1
    • 1
    • 1
    • 1
    • 1
    • 1
    AA 1-100

    原理

    RNF20 Antibody

    纯化方法

    Protein G purified

    纯度

    >95 %

    免疫原

    Recombinant Human E3 ubiquitin-protein ligase BRE1A protein (1-100AA)

    亚型

    IgG
  • 应用备注

    Optimal working dilution should be determined by the investigator.

    限制

    仅限研究用
  • 状态

    Liquid

    缓冲液

    Preservative: 0.03 % Proclin 300
    Constituents: 50 % Glycerol, 0.01M PBS, PH 7.4

    储存液

    ProClin

    注意事项

    This product contains ProClin: a POISONOUS AND HAZARDOUS SUBSTANCE which should be handled by trained staff only.

    储存条件

    -20 °C,-80 °C

    储存方法

    Upon receipt, store at -20°C or -80°C. Avoid repeated freeze.
  • 抗原

    RNF20 (Ring Finger Protein 20 (RNF20))

    别名

    RNF20

    背景

    Background: Component of the RNF20/40 E3 ubiquitin-protein ligase complex that mediates monoubiquitination of \\\'Lys-120\\\' of histone H2B (H2BK120ub1). H2BK120ub1 gives a specific tag for epigenetic transcriptional activation and is also prerequisite for histone H3 \\\'Lys-4\\\' and \\\'Lys-79\\\' methylation (H3K4me and H3K79me, respectively). It thereby plays a central role inb histone code and gene regulation. The RNF20/40 complex forms a H2B ubiquitin ligase complex in cooperation with the E2 enzyme UBE2A or UBE2B, reports about the cooperation with UBE2E1/UBCH are contradictory. Required for transcriptional activation of Hox genes. Recruited to the MDM2 promoter, probably by being recruited by p53/TP53, and thereby acts as a transcriptional coactivator. Mediates the polyubiquitination of isoform 2 of PA2G4 in cancer cells leading to its proteasome-mediated degradation.

    Aliases: BRE1 A antibody, BRE1 antibody, BRE1 E3 ubiquitin ligase homolog antibody, BRE1-A antibody, BRE1A antibody, BRE1A_HUMAN antibody, E3 ubiquitin-protein ligase BRE1A antibody, hBRE1 antibody, Homolog of S. cerevisiae BRE1 antibody, RING finger protein 20 antibody, Ring finger protein 20 E3 ubiquitin protein ligase antibody, Rnf20 antibody

    UniProt

    Q5VTR2
You are here: