电话:
+86 (0512) 65829739
传真:
+86 (010) 6788 5057
电子邮件:
orders@antibodies-online.cn

DYRK2 抗体 (AA 502-601)

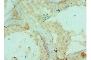
The 兔 多克隆 anti-DYRK2 antibody is suitable to detect DYRK2 in samples from 人. It has been validated for ELISA 和 IHC.
产品编号 ABIN7150791
发货至: 中国
Contact our Customer Service for availability and price in your country. Contact Info

Our Local Distributor

中国
北京 101111
No. 88 KeChuang 6th Street
Beijing Economic Technological Development Area
Room 801-803
4A Biotech Co.,Ltd.
Tel +86 (0512) 65829739 传真 +86 (010) 6788 5057

Quick Overview for DYRK2 抗体 (AA 502-601) (ABIN7150791)

抗原

See all DYRK2 抗体
DYRK2 (Dual-Specificity tyrosine-(Y)-phosphorylation Regulated Kinase 2 (DYRK2))

适用

  • 38
  • 33
  • 22
  • 3
  • 3
  • 3
  • 3
  • 3
  • 2
  • 2
  • 1
  • 1
  • 1
  • 1

宿主

  • 50
  • 8
  • 1

克隆类型

  • 51
  • 8
多克隆

标记

  • 27
  • 4
  • 4
  • 3
  • 2
  • 2
  • 1
  • 1
  • 1
  • 1
  • 1
  • 1
  • 1
  • 1
  • 1
  • 1
  • 1
  • 1
  • 1
  • 1
  • 1
  • 1
  • 1
This DYRK2 antibody is un-conjugated

应用范围

  • 53
  • 28
  • 21
  • 13
  • 13
  • 9
  • 4
  • 3
  • 3
  • 2
  • 1
  • 1
ELISA, Immunohistochemistry (IHC)
  • 抗原表位

    • 15
    • 8
    • 8
    • 6
    • 4
    • 2
    • 2
    • 1
    • 1
    • 1
    • 1
    • 1
    • 1
    AA 502-601

    原理

    DYRK2 Antibody

    纯化方法

    Antigen Affinity Purified

    免疫原

    Recombinant Human Dual specificity tyrosine-phosphorylation-regulated kinase 2 protein (502-601AA)

    亚型

    IgG
  • 应用备注

    Optimal working dilution should be determined by the investigator.

    限制

    仅限研究用
  • 状态

    Liquid

    缓冲液

    PBS with 0.02 % sodium azide, 50 % glycerol, pH 7.3.

    储存液

    Sodium azide

    注意事项

    This product contains Sodium azide: a POISONOUS AND HAZARDOUS SUBSTANCE which should be handled by trained staff only.

    储存条件

    -20 °C,-80 °C

    储存方法

    Upon receipt, store at -20°C or -80°C. Avoid repeated freeze.
  • 抗原

    DYRK2 (Dual-Specificity tyrosine-(Y)-phosphorylation Regulated Kinase 2 (DYRK2))

    别名

    DYRK2

    背景

    Background: Serine/threonine-protein kinase involved in the regulation of the mitotic cell cycle, cell proliferation, apoptosis, organization of the cytoskeleton and neurite outgrowth. Functions in part via its role in ubiquitin-dependent proteasomal protein degradation. Functions downstream of ATM and phosphorylates p53/TP53 at \\\'Ser-46\\\', and thereby contributes to the induction of apoptosis in response to DNA damage. Phosphorylates NFATC1, and thereby inhibits its accumulation in the nucleus and its transcription factor activity. Phosphorylates EIF2B5 at \\\'Ser-544\\\', enabling its subsequent phosphorylation and inhibition by GSK3B. Likewise, phosphorylation of NFATC1, CRMP2/DPYSL2 and CRMP4/DPYSL3 promotes their subsequent phosphorylation by GSK3B. May play a general role in the priming of GSK3 substrates. Inactivates GYS1 by phosphorylation at \\\'Ser-641\\\', and potentially also a second phosphorylation site, thus regulating glycogen synthesis. Mediates EDVP E3 ligase complex formation and is required for the phosphorylation and subsequent degradation of KATNA1. Phosphorylates TERT at \\\'Ser-457\\\', promoting TERT ubiquitination by the EDVP complex. Phosphorylates SIAH2, and thereby increases its ubiquitin ligase activity. Promotes the proteasomal degradation of MYC and JUN, and thereby regulates progress through the mitotic cell cycle and cell proliferation. Promotes proteasomal degradation of GLI2 and GLI3, and thereby plays a role in smoothened and sonic hedgehog signaling. Plays a role in cytoskeleton organization and neurite outgrowth via its phosphorylation of DCX and DPYSL2. Phosphorylates CRMP2/DPYSL2, CRMP4/DPYSL3, DCX, EIF2B5, EIF4EBP1, GLI2, GLI3, GYS1, JUN, MDM2, MYC, NFATC1, p53/TP53, TAU/MAPT and KATNA1. Can phosphorylate histone H1, histone H3 and histone H2B (in vitro). Can phosphorylate CARHSP1 (in vitro).

    Aliases: 1810038L18Rik antibody, Dual specificity tyrosine (Y) phosphorylation regulated kinase 2 antibody, Dual specificity tyrosine phosphorylation regulated kinase 2 antibody, Dual specificity tyrosine-phosphorylation-regulated kinase 2 antibody, DYRK2 antibody, DYRK2_HUMAN antibody, EC 2.7.12.1 antibody, FLJ21217 antibody, FLJ21365 antibody

    UniProt

    Q92630

    途径

    Regulation of Carbohydrate Metabolic Process
You are here: