电话:
+86 (0512) 65829739
传真:
+86 (010) 6788 5057
电子邮件:
orders@antibodies-online.cn

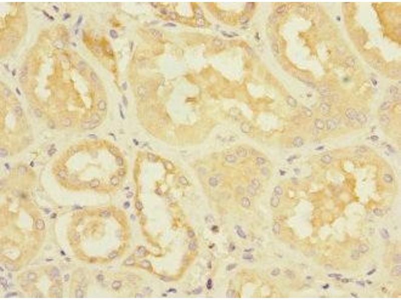
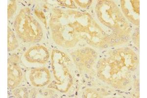
DUSP10 抗体 (AA 1-300)

The 兔 多克隆 anti-DUSP10 antibody (ABIN7150741) specifically detects DUSP10 in ELISA 和 IHC. The antibody is reactive with 人 samples.
产品编号 ABIN7150741
发货至: 中国
Contact our Customer Service for availability and price in your country. Contact Info

Our Local Distributor

中国
北京 101111
No. 88 KeChuang 6th Street
Beijing Economic Technological Development Area
Room 801-803
4A Biotech Co.,Ltd.
Tel +86 (0512) 65829739 传真 +86 (010) 6788 5057

Quick Overview for DUSP10 抗体 (AA 1-300) (ABIN7150741)

抗原

See all DUSP10 抗体
DUSP10 (Dual Specificity Phosphatase 10 (DUSP10))

适用

  • 55
  • 38
  • 8
  • 3
  • 3
  • 3
  • 3
  • 3
  • 2
  • 2
  • 1
  • 1
  • 1
  • 1

宿主

  • 51
  • 3
  • 1

克隆类型

  • 53
  • 2
多克隆

标记

  • 25
  • 3
  • 3
  • 3
  • 2
  • 2
  • 1
  • 1
  • 1
  • 1
  • 1
  • 1
  • 1
  • 1
  • 1
  • 1
  • 1
  • 1
  • 1
  • 1
  • 1
  • 1
  • 1
This DUSP10 antibody is un-conjugated

应用范围

  • 48
  • 25
  • 14
  • 13
  • 13
  • 7
  • 3
  • 3
  • 2
  • 1
  • 1
ELISA, Immunohistochemistry (IHC)
  • 抗原表位

    • 15
    • 8
    • 7
    • 6
    • 4
    • 2
    • 1
    • 1
    • 1
    • 1
    • 1
    • 1
    AA 1-300

    原理

    DUSP10 Antibody

    纯化方法

    Antigen Affinity Purified

    免疫原

    Recombinant Human Dual specificity protein phosphatase 10 protein (1-300AA)

    亚型

    IgG
  • 应用备注

    Optimal working dilution should be determined by the investigator.

    限制

    仅限研究用
  • 状态

    Liquid

    缓冲液

    PBS with 0.02 % sodium azide, 50 % glycerol, pH 7.3.

    储存液

    Sodium azide

    注意事项

    This product contains Sodium azide: a POISONOUS AND HAZARDOUS SUBSTANCE which should be handled by trained staff only.

    储存条件

    -20 °C,-80 °C

    储存方法

    Upon receipt, store at -20°C or -80°C. Avoid repeated freeze.
  • 抗原

    DUSP10 (Dual Specificity Phosphatase 10 (DUSP10))

    别名

    DUSP10

    背景

    Background: Protein phosphatase involved in the inactivation of MAP kinases. Has a specificity for the MAPK11/MAPK12/MAPK13/MAPK14 subfamily. It preferably dephosphorylates p38.

    Aliases: Dual specificity phosphatase 10 antibody, Dual specificity phosphatase MKP 5 antibody, Dual specificity phosphatase MKP5 antibody, Dual specificity protein phosphatase 10 antibody, DUS10_HUMAN antibody, DUSP 10 antibody, DUSP10 antibody, DUSP10 protein antibody, MAP kinase phosphatase 5 antibody, Mitogen activated protein kinase phosphatase 5 antibody, Mitogen-activated protein kinase phosphatase 5 antibody, MKP 5 antibody, MKP-5 antibody, MKP5 antibody, Serine/threonine specific protein phosphatase antibody

    UniProt

    Q9Y6W6
You are here: