电话:
+86 (0512) 65829739
传真:
+86 (010) 6788 5057
电子邮件:
orders@antibodies-online.cn

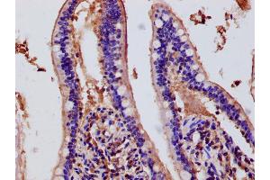
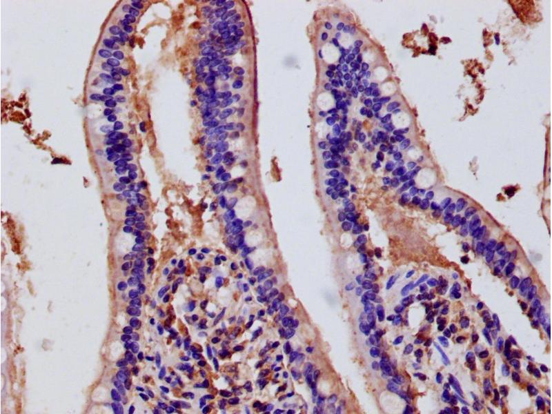
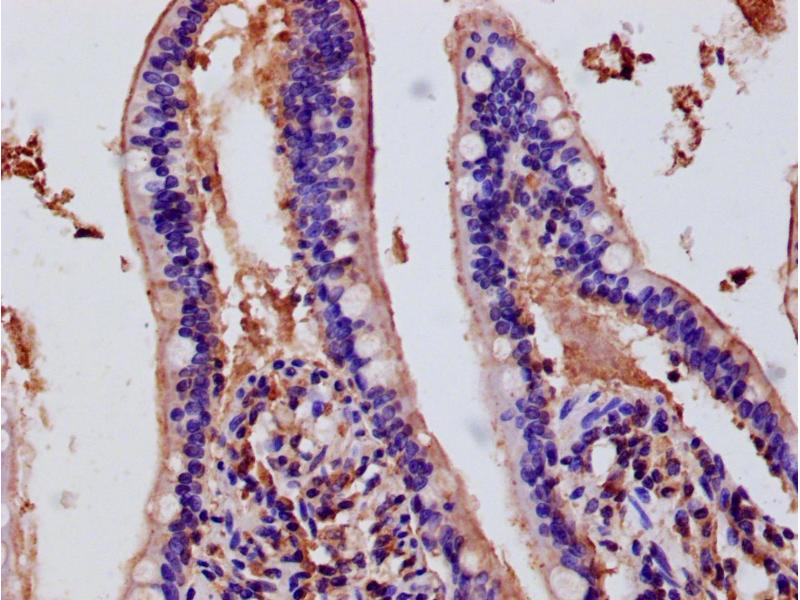
DUOX2 抗体 (AA 1-100)

The 兔 多克隆 anti-DUOX2 antibody (ABIN7150690) specifically detects DUOX2 in IHC 和 ELISA. The antibody is reactive with 人 samples.
产品编号 ABIN7150690
发货至: 中国
Contact our Customer Service for availability and price in your country. Contact Info

Our Local Distributor

中国
北京 101111
No. 88 KeChuang 6th Street
Beijing Economic Technological Development Area
Room 801-803
4A Biotech Co.,Ltd.
Tel +86 (0512) 65829739 传真 +86 (010) 6788 5057

Quick Overview for DUOX2 抗体 (AA 1-100) (ABIN7150690)

抗原

See all DUOX2 抗体
DUOX2 (Dual Oxidase 2 (DUOX2))

适用

  • 18
  • 6
  • 4
  • 1
  • 1

宿主

  • 20
  • 1

克隆类型

  • 20
  • 1
多克隆

标记

  • 11
  • 1
  • 1
  • 1
  • 1
  • 1
  • 1
  • 1
  • 1
  • 1
  • 1
This DUOX2 antibody is un-conjugated

应用范围

  • 12
  • 9
  • 6
  • 6
  • 2
  • 1
  • 1
  • 1
  • 1
Immunohistochemistry (IHC), ELISA
  • 抗原表位

    • 5
    • 2
    • 1
    • 1
    • 1
    • 1
    • 1
    • 1
    AA 1-100

    原理

    DUOX2 Antibody

    纯化方法

    Antigen Affinity Purified

    免疫原

    Recombinant Human Dual oxidase 2 protein (1-100AA)

    亚型

    IgG
  • 应用备注

    Optimal working dilution should be determined by the investigator.

    限制

    仅限研究用
  • 状态

    Liquid

    缓冲液

    PBS with 0.02 % sodium azide, 50 % glycerol, pH 7.3.

    储存液

    Sodium azide

    注意事项

    This product contains Sodium azide: a POISONOUS AND HAZARDOUS SUBSTANCE which should be handled by trained staff only.

    储存条件

    -20 °C,-80 °C

    储存方法

    Upon receipt, store at -20°C or -80°C. Avoid repeated freeze.
  • 抗原

    DUOX2 (Dual Oxidase 2 (DUOX2))

    别名

    DUOX2

    背景

    Background: Generates hydrogen peroxide which is required for the activity of thyroid peroxidase/TPO and lactoperoxidase/LPO. Plays a role in thyroid hormones synthesis and lactoperoxidase-mediated antimicrobial defense at the surface of mucosa. May have its own peroxidase activity through its N-terminal peroxidase-like domain.

    Aliases: Dual oxidase 2 antibody, Dual oxidase like domains 2 antibody, Dual oxidase2 antibody, DUOX2 antibody, DUOX2_HUMAN antibody, Flavoprotein NADPH oxidase antibody, Large NOX 2 antibody, LNOX2 antibody, Long NOX 2 antibody, NADH/NADPH thyroid oxidase p138 tox antibody, NADH/NADPH thyroid oxidase p138-tox antibody, NADPH oxidase/peroxidase DUOX2 antibody, NADPH thyroid oxidase 2 antibody, Nicotinamide adenine dinucleotide phosphate oxidase antibody, NOXEF2 antibody, p138 thyroid oxidase antibody, P138 TOX antibody, TDH6 antibody, THOX2 antibody, Thyroid oxidase 2 antibody

    UniProt

    Q9NRD8

    途径

    Thyroid Hormone Synthesis
You are here: