电话:
+86 (0512) 65829739
传真:
+86 (010) 6788 5057
电子邮件:
orders@antibodies-online.cn

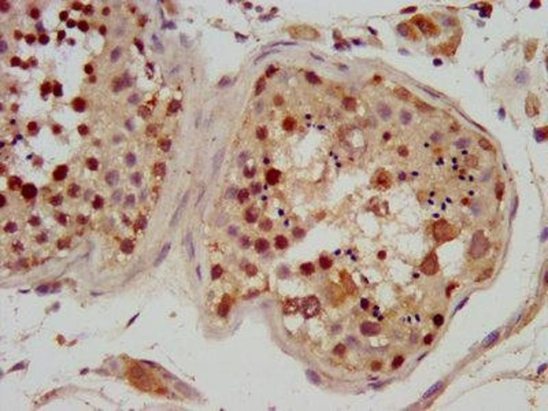
RFX2 抗体 (AA 1-130)

The 兔 多克隆 anti-RFX2 antibody is suitable to detect RFX2 in samples from 人. It has been validated for ELISA, IHC 和 IF.
产品编号 ABIN7150380
发货至: 中国
Contact our Customer Service for availability and price in your country. Contact Info

Our Local Distributor

中国
北京 101111
No. 88 KeChuang 6th Street
Beijing Economic Technological Development Area
Room 801-803
4A Biotech Co.,Ltd.
Tel +86 (0512) 65829739 传真 +86 (010) 6788 5057

Quick Overview for RFX2 抗体 (AA 1-130) (ABIN7150380)

抗原

See all RFX2 抗体
RFX2 (Regulatory Factor X 2 (RFX2))

适用

  • 30
  • 1
  • 1

宿主

  • 28
  • 2

克隆类型

  • 30
多克隆

标记

  • 15
  • 3
  • 2
  • 2
  • 1
  • 1
  • 1
  • 1
  • 1
  • 1
  • 1
  • 1
This RFX2 antibody is un-conjugated

应用范围

  • 16
  • 13
  • 3
  • 1
  • 1
  • 1
ELISA, Immunohistochemistry (IHC), Immunofluorescence (IF)
  • 抗原表位

    • 9
    • 6
    • 4
    • 1
    • 1
    • 1
    • 1
    • 1
    • 1
    AA 1-130

    原理

    RFX2 Antibody

    纯化方法

    Protein G purified

    纯度

    >95 %

    免疫原

    Recombinant Human DNA-binding protein RFX2 protein (1-130AA)

    亚型

    IgG
  • 应用备注

    Optimal working dilution should be determined by the investigator.

    限制

    仅限研究用
  • 状态

    Liquid

    缓冲液

    Preservative: 0.03 % Proclin 300
    Constituents: 50 % Glycerol, 0.01M PBS, pH 7.4

    储存液

    ProClin

    注意事项

    This product contains ProClin: a POISONOUS AND HAZARDOUS SUBSTANCE which should be handled by trained staff only.

    储存条件

    -20 °C,-80 °C

    储存方法

    Upon receipt, store at -20°C or -80°C. Avoid repeated freeze.
  • 抗原

    RFX2 (Regulatory Factor X 2 (RFX2))

    别名

    RFX2

    背景

    Background: Transcription factor that acts as a key regulator of spermatogenesis. Acts by regulating expression of genes required for the haploid phase during spermiogenesis, such as genes required for cilium assembly and function (By similarity). Recognizes and binds the X-box, a regulatory motif with DNA sequence 5\\\'-GTNRCC(0-3N)RGYAAC-3\\\' present on promoters (PubMed:10330134). Probably activates transcription of the testis-specific histone gene HIST1H1T (By similarity).

    Aliases: DNA-binding protein RFX2 antibody, HLA class II regulatory factor RFX2 antibody, regulatory factor X 2 (influences HLA class II expression) antibody, Regulatory factor X 2 antibody, regulatory factor X2 antibody, RFX2 antibody, RFX2_HUMAN antibody, trans acting regulatory factor 2 antibody

    UniProt

    P48378
You are here: