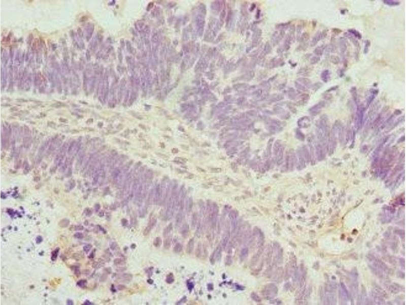
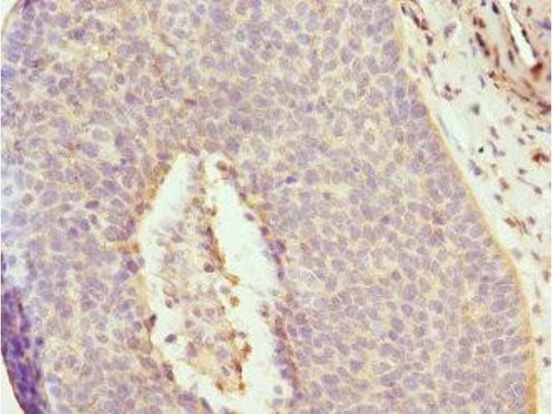
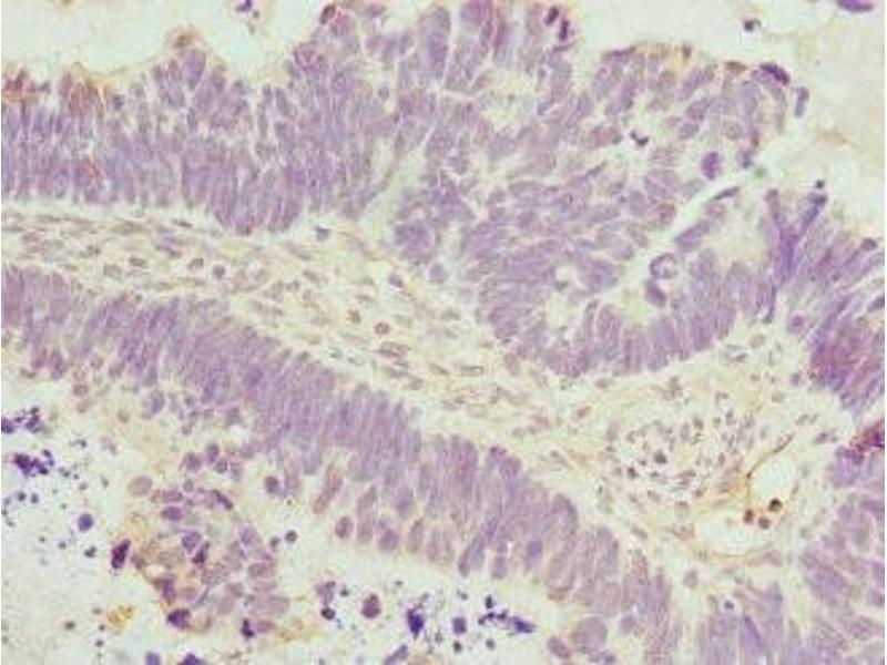
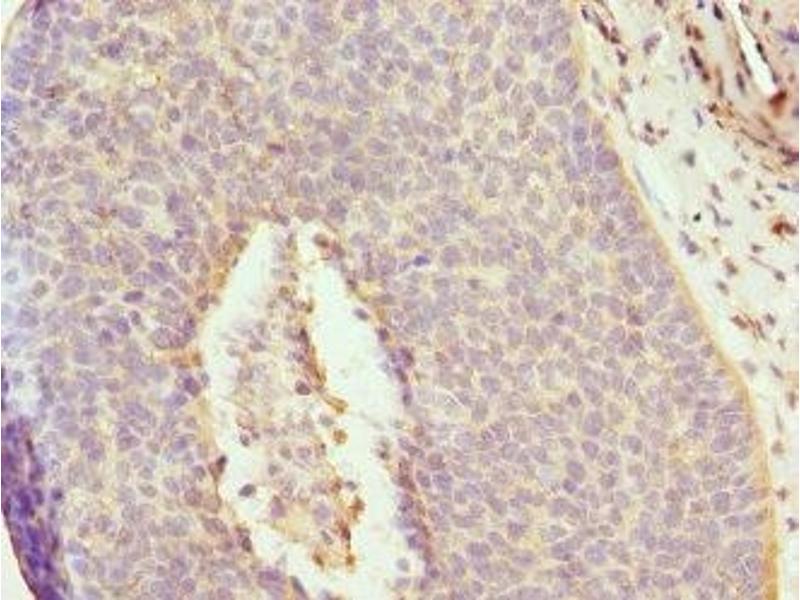
DAAM2 抗体 (AA 1-86)
Our Local Distributor
北京 101111
Quick Overview for DAAM2 抗体 (AA 1-86) (ABIN7150033)
抗原
适用
宿主
克隆类型
标记
应用范围
-
-
抗原表位
- AA 1-86
-
原理
- DAAM2 Antibody
-
纯化方法
- Antigen Affinity Purified
-
免疫原
- Recombinant Human Disheveled-associated activator of morphogenesis 2 protein (1-86AA)
-
亚型
- IgG
-
-
-
-
应用备注
- Optimal working dilution should be determined by the investigator.
-
限制
- 仅限研究用
-
-
-
状态
- Liquid
-
缓冲液
- PBS with 0.02 % sodium azide, 50 % glycerol, pH 7.3.
-
储存液
- Sodium azide
-
注意事项
- This product contains Sodium azide: a POISONOUS AND HAZARDOUS SUBSTANCE which should be handled by trained staff only.
-
储存条件
- -20 °C,-80 °C
-
储存方法
- Upon receipt, store at -20°C or -80°C. Avoid repeated freeze.
-
-
- DAAM2 (Dishevelled Associated Activator of Morphogenesis 2 (DAAM2))
-
别名
- DAAM2
-
背景
-
Background: extracellular exosome
Aliases: DAAM2 antibody, DAAM2_HUMAN antibody, Disheveled-associated activator of morphogenesis 2 antibody, dishevelled associated activator of morphogenesis 2 antibody, dJ90A20A.1 antibody, KIAA0381 antibody, MGC90515 antibody, RP1 278E11.1 antibody
-
UniProt
- Q86T65
抗原
-