电话:
+86 (0512) 65829739
传真:
+86 (010) 6788 5057
电子邮件:
orders@antibodies-online.cn

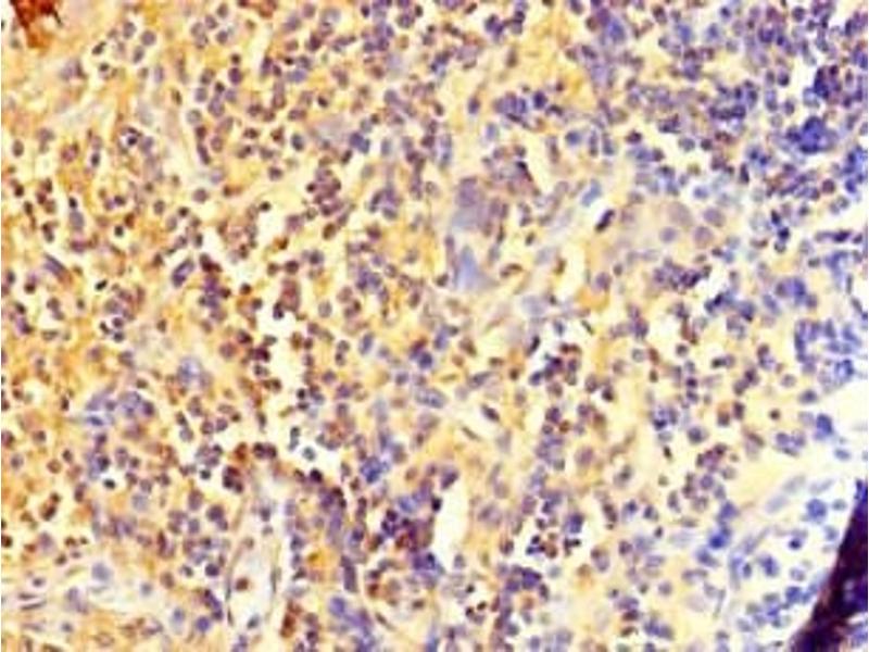
DIS3L2 抗体 (AA 201-400)

The 兔 多克隆 anti-DIS3L2 antibody is suitable to detect DIS3L2 in samples from 人. It has been validated for ELISA 和 IHC.
产品编号 ABIN7150017
发货至: 中国
Contact our Customer Service for availability and price in your country. Contact Info

Our Local Distributor

中国
北京 101111
No. 88 KeChuang 6th Street
Beijing Economic Technological Development Area
Room 801-803
4A Biotech Co.,Ltd.
Tel +86 (0512) 65829739 传真 +86 (010) 6788 5057

Quick Overview for DIS3L2 抗体 (AA 201-400) (ABIN7150017)

抗原

See all DIS3L2 抗体
DIS3L2 (DIS3-Like Exonuclease 2 (DIS3L2))

适用

  • 37
  • 20
  • 20
  • 3
  • 2
  • 2
  • 1
  • 1
  • 1
  • 1

宿主

  • 27
  • 10
  • 1

克隆类型

  • 29
  • 9
多克隆

标记

  • 13
  • 3
  • 3
  • 2
  • 1
  • 1
  • 1
  • 1
  • 1
  • 1
  • 1
  • 1
  • 1
  • 1
  • 1
  • 1
  • 1
  • 1
  • 1
  • 1
  • 1
This DIS3L2 antibody is un-conjugated

应用范围

  • 27
  • 13
  • 6
  • 6
  • 6
  • 2
ELISA, Immunohistochemistry (IHC)
  • 抗原表位

    • 4
    • 4
    • 2
    • 1
    • 1
    • 1
    • 1
    • 1
    AA 201-400

    原理

    DIS3L2 Antibody

    纯化方法

    Protein G purified

    纯度

    >95 %

    免疫原

    Recombinant Human DIS3-like exonuclease 2 protein (201-400AA)

    亚型

    IgG
  • 应用备注

    Optimal working dilution should be determined by the investigator.

    限制

    仅限研究用
  • 状态

    Liquid

    缓冲液

    Preservative: 0.03 % Proclin 300
    Constituents: 50 % Glycerol, 0.01M PBS, PH 7.4

    储存液

    ProClin

    注意事项

    This product contains ProClin: a POISONOUS AND HAZARDOUS SUBSTANCE which should be handled by trained staff only.

    储存条件

    -20 °C,-80 °C

    储存方法

    Upon receipt, store at -20°C or -80°C. Avoid repeated freeze.
  • 抗原

    DIS3L2 (DIS3-Like Exonuclease 2 (DIS3L2))

    别名

    DIS3L2

    背景

    Background: 3\'-5\'-exoribonuclease that specifically recognizes RNAs polyuridylated at their 3\' end and mediates their degradation. Component of an exosome-independent RNA degradation pathway that mediates degradation of both mRNAs and miRNAs that have been polyuridylated by a terminal uridylyltransferase, such as ZCCHC11/TUT4. Mediates degradation of cytoplasmic mRNAs that have been deadenylated and subsequently uridylated at their 3\'. Mediates degradation of uridylated pre-let-7 miRNAs, contributing to the maintenance of embryonic stem (ES) cells. Essential for correct mitosis, and negatively regulates cell proliferation.

    Aliases: DI3L2_HUMAN antibody, DIS3 L2 antibody, DIS3 mitotic control homolog (S. cerevisiae) like 2 antibody, DIS3 mitotic control homolog like 2 antibody, DIS3-like exonuclease 2 antibody, Dis3l2 antibody, FLJ36974 antibody, MGC42174 antibody

    UniProt

    Q8IYB7

    途径

    Stem Cell Maintenance
You are here: