电话:
+86 (0512) 65829739
传真:
+86 (010) 6788 5057
电子邮件:
orders@antibodies-online.cn

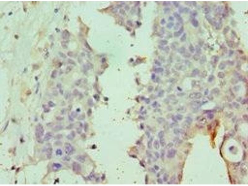
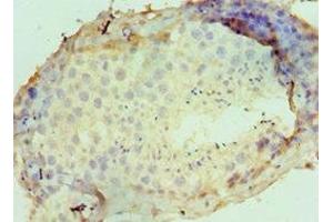
DPP8 抗体 (AA 10-230)

The 兔 多克隆 anti-DPP8 antibody (ABIN7149988) specifically detects DPP8 in IHC 和 ELISA. The antibody is reactive with 人 samples.
产品编号 ABIN7149988
发货至: 中国
Contact our Customer Service for availability and price in your country. Contact Info

Our Local Distributor

中国
北京 101111
No. 88 KeChuang 6th Street
Beijing Economic Technological Development Area
Room 801-803
4A Biotech Co.,Ltd.
Tel +86 (0512) 65829739 传真 +86 (010) 6788 5057

Quick Overview for DPP8 抗体 (AA 10-230) (ABIN7149988)

抗原

See all DPP8 抗体
DPP8 (Dipeptidyl-Peptidase 8 (DPP8))

适用

  • 37
  • 6
  • 4
  • 2
  • 2
  • 1
  • 1
  • 1
  • 1
  • 1

宿主

  • 31
  • 7

克隆类型

  • 32
  • 6
多克隆

标记

  • 31
  • 1
  • 1
  • 1
  • 1
  • 1
  • 1
  • 1
This DPP8 antibody is un-conjugated

应用范围

  • 26
  • 16
  • 11
  • 7
  • 6
  • 6
  • 5
  • 4
  • 1
  • 1
  • 1
  • 1
  • 1
Immunohistochemistry (IHC), ELISA
  • 抗原表位

    • 4
    • 3
    • 2
    • 2
    • 2
    • 2
    • 2
    • 1
    • 1
    • 1
    • 1
    • 1
    • 1
    • 1
    • 1
    • 1
    • 1
    AA 10-230

    原理

    DPP8 Antibody

    纯化方法

    Antigen Affinity Purified

    免疫原

    Recombinant Human Dipeptidyl peptidase 8 protein (10-230AA)

    亚型

    IgG
  • 应用备注

    Optimal working dilution should be determined by the investigator.

    限制

    仅限研究用
  • 状态

    Liquid

    缓冲液

    PBS with 0.02 % sodium azide, 50 % glycerol, pH 7.3.

    储存液

    Sodium azide

    注意事项

    This product contains Sodium azide: a POISONOUS AND HAZARDOUS SUBSTANCE which should be handled by trained staff only.

    储存条件

    -20 °C,-80 °C

    储存方法

    Upon receipt, store at -20°C or -80°C. Avoid repeated freeze.
  • 抗原

    DPP8 (Dipeptidyl-Peptidase 8 (DPP8))

    别名

    DPP8

    背景

    Background: Dipeptidyl peptidase that cleaves off N-terminal dipeptides from proteins having a Pro or Ala residue at position 2. May play a role in T-cell activation and immune function.

    Aliases: Dipeptidyl peptidase 8 antibody, Dipeptidyl peptidase IV-related protein 1 antibody, Dipeptidyl peptidase VIII antibody, Dipeptidylpeptidase 8 antibody, DP8 antibody, DPP VIII antibody, Dpp8 antibody, DPP8_HUMAN antibody, DPRP-1 antibody, DPRP1 antibody, EC 3.4.14.5 antibody, MSTP141 antibody, Prolyl dipeptidase DPP8 antibody

    UniProt

    Q6V1X1
You are here: