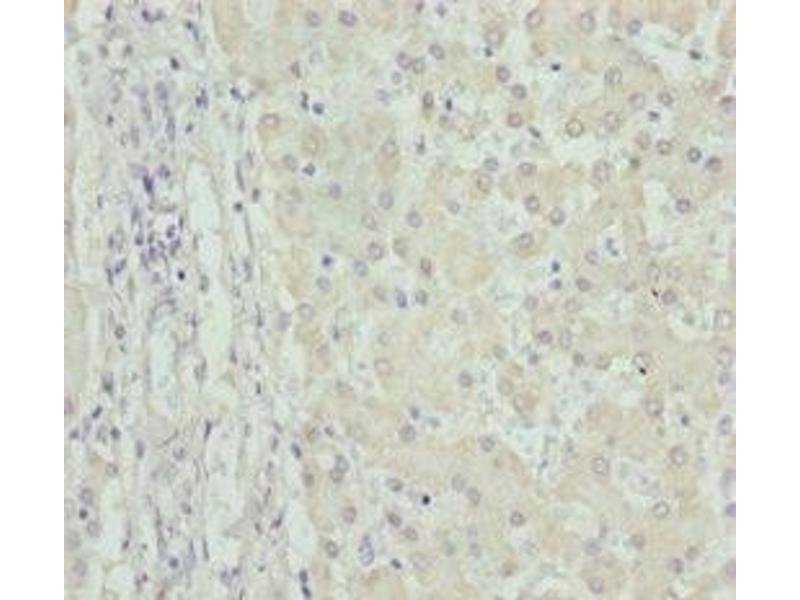
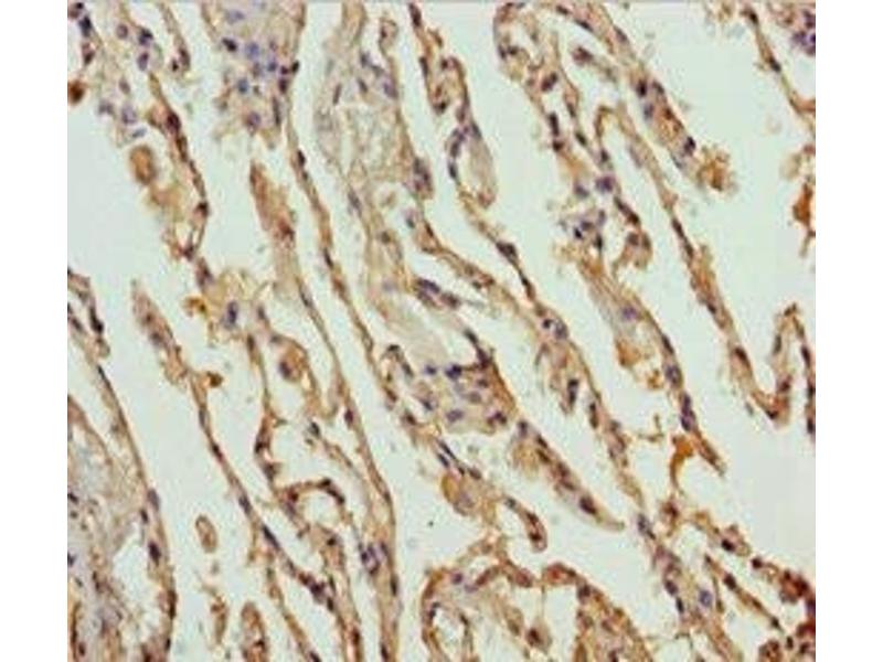
FMO5 抗体 (AA 1-285)
Our Local Distributor
北京 101111
Quick Overview for FMO5 抗体 (AA 1-285) (ABIN7149965)
抗原
See all FMO5 抗体适用
宿主
克隆类型
标记
应用范围
-
-
抗原表位
- AA 1-285
-
原理
- FMO5 Antibody
-
交叉反应
- 小鼠
-
纯化方法
- Antigen Affinity Purified
-
免疫原
- Recombinant Human Dimethylaniline monooxygenase [N-oxide-forming] 5 protein (1-285AA)
-
亚型
- IgG
-
-
-
-
应用备注
- Optimal working dilution should be determined by the investigator.
-
限制
- 仅限研究用
-
-
-
状态
- Liquid
-
缓冲液
- PBS with 0.02 % sodium azide, 50 % glycerol, pH 7.3.
-
储存液
- Sodium azide
-
注意事项
- This product contains Sodium azide: a POISONOUS AND HAZARDOUS SUBSTANCE which should be handled by trained staff only.
-
储存条件
- -20 °C,-80 °C
-
储存方法
- Upon receipt, store at -20°C or -80°C. Avoid repeated freeze.
-
-
- FMO5 (Flavin Containing Monooxygenase 5 (FMO5))
-
别名
- FMO5
-
背景
-
Background: In contrast with other forms of FMO it does not seem to be a drug-metabolizing enzyme.
Aliases: Dimethylaniline monooxygenase [N oxide forming] 5 antibody, Dimethylaniline monooxygenase [N-oxide-forming] 5 antibody, Dimethylaniline oxidase 5 antibody, FMO 5 antibody, FMO5 antibody, FMO5_HUMAN antibody, Hepatic flavin containing monooxygenase 5 antibody, Hepatic flavin-containing monooxygenase 5 antibody
-
UniProt
- P49326
抗原
-