电话:
+86 (0512) 65829739
传真:
+86 (010) 6788 5057
电子邮件:
orders@antibodies-online.cn

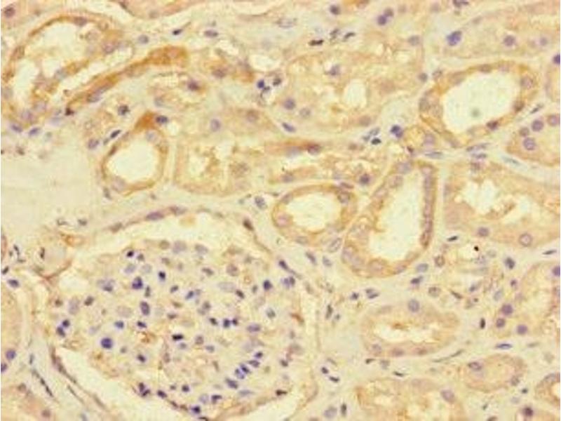
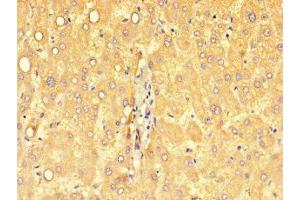
DSE 抗体 (AA 23-270)

This 兔 多克隆 antibody specifically detects DSE in ELISA, IHC 和 IF. It exhibits reactivity toward 人.
产品编号 ABIN7149746
发货至: 中国
Contact our Customer Service for availability and price in your country. Contact Info

Our Local Distributor

中国
北京 101111
No. 88 KeChuang 6th Street
Beijing Economic Technological Development Area
Room 801-803
4A Biotech Co.,Ltd.
Tel +86 (0512) 65829739 传真 +86 (010) 6788 5057

Quick Overview for DSE 抗体 (AA 23-270) (ABIN7149746)

抗原

See all DSE 抗体
DSE (Dermatan Sulfate Epimerase (DSE))

适用

  • 9
  • 2

宿主

  • 5
  • 4

克隆类型

  • 6
  • 3
多克隆

标记

  • 5
  • 2
  • 1
  • 1
This DSE antibody is un-conjugated

应用范围

ELISA, Immunohistochemistry (IHC), Immunofluorescence (IF)
  • 抗原表位

    • 4
    • 1
    • 1
    • 1
    • 1
    • 1
    AA 23-270

    原理

    DSE Antibody

    纯化方法

    Protein G purified

    纯度

    >95 %

    免疫原

    Recombinant Human Dermatan-sulfate epimerase protein (23-270AA)

    亚型

    IgG
  • 应用备注

    Optimal working dilution should be determined by the investigator.

    限制

    仅限研究用
  • 状态

    Liquid

    缓冲液

    Preservative: 0.03 % Proclin 300
    Constituents: 50 % Glycerol, 0.01M PBS, PH 7.4

    储存液

    ProClin

    注意事项

    This product contains ProClin: a POISONOUS AND HAZARDOUS SUBSTANCE which should be handled by trained staff only.

    储存条件

    -20 °C,-80 °C

    储存方法

    Upon receipt, store at -20°C or -80°C. Avoid repeated freeze.
  • 抗原

    DSE (Dermatan Sulfate Epimerase (DSE))

    别名

    DSE

    背景

    Background: Converts D-glucuronic acid to L-iduronic acid (IdoUA) residues.

    Aliases: Chondroitin glucuronate 5 epimerase antibody, Chondroitin-glucuronate 5-epimerase antibody, Dermatan sulfate epimerase antibody, Dermatan-sulfate epimerase antibody, DS epimerase antibody, DSE antibody, DSE_HUMAN antibody, DSEPI antibody, OTTHUMP00000040406 antibody, SART 2 antibody, SART-2 antibody, Squamous cell carcinoma antigen recognized by T cells 2 antibody, Squamous cell carcinoma antigen recognized by T-cells 2 antibody

    UniProt

    Q9UL01

    途径

    Glycosaminoglycan Metabolic Process
You are here: