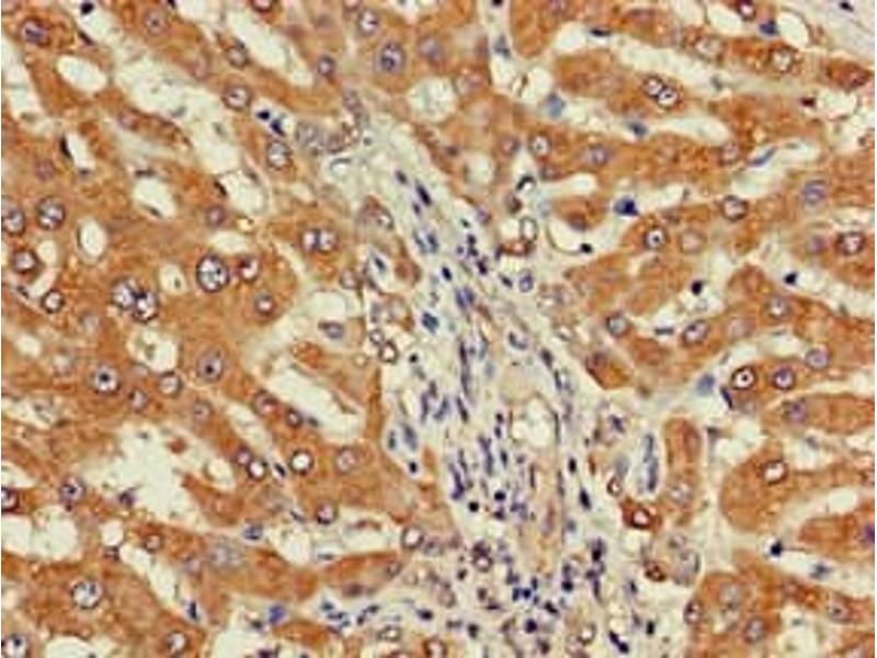
DEPDC1B 抗体 (AA 343-529)
Our Local Distributor
北京 101111
Quick Overview for DEPDC1B 抗体 (AA 343-529) (ABIN7149738)
抗原
适用
宿主
克隆类型
标记
应用范围
-
-
抗原表位
- AA 343-529
-
原理
- DEPDC1B Antibody
-
纯化方法
- Protein G purified
-
纯度
- >95 %
-
免疫原
- Recombinant Human DEP domain-containing protein 1B protein (343-529AA)
-
亚型
- IgG
-
-
-
-
应用备注
- Optimal working dilution should be determined by the investigator.
-
限制
- 仅限研究用
-
-
-
状态
- Liquid
-
缓冲液
-
Preservative: 0.03 % Proclin 300
Constituents: 50 % Glycerol, 0.01M PBS, pH 7.4 -
储存液
- ProClin
-
注意事项
- This product contains ProClin: a POISONOUS AND HAZARDOUS SUBSTANCE which should be handled by trained staff only.
-
储存条件
- -20 °C,-80 °C
-
储存方法
- Upon receipt, store at -20°C or -80°C. Avoid repeated freeze.
-
-
- DEPDC1B (DEP Domain Containing 1B (DEPDC1B))
-
别名
- DEPDC1B
-
背景
-
Background: cytosol, GTPase activator activity, cell migration, positive regulation of Wnt signaling pathway, regulation of small GTPase mediated signal transduction
Aliases: DEPDC1B antibody, XTP8 antibody, DEP domain-containing protein 1B antibody, HBV X-transactivated gene 8 protein antibody, HBV XAg-transactivated protein 8 antibody
-
UniProt
- Q8WUY9
抗原
-