电话:
+86 (0512) 65829739
传真:
+86 (010) 6788 5057
电子邮件:
orders@antibodies-online.cn

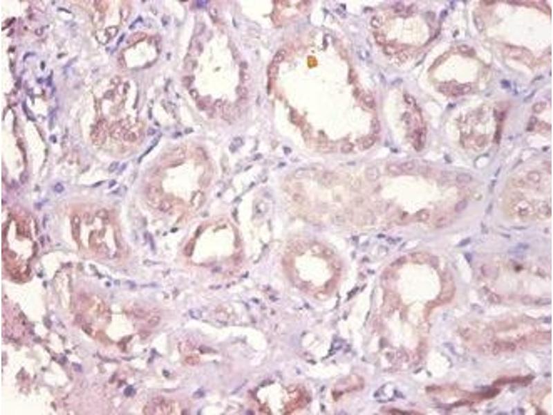
DHRS9 抗体 (AA 23-319)

The 兔 多克隆 anti-DHRS9 antibody is suitable to detect DHRS9 in samples from 人. It has been validated for ELISA, IHC 和 IF.
产品编号 ABIN7149627
发货至: 中国
Contact our Customer Service for availability and price in your country. Contact Info

Our Local Distributor

中国
北京 101111
No. 88 KeChuang 6th Street
Beijing Economic Technological Development Area
Room 801-803
4A Biotech Co.,Ltd.
Tel +86 (0512) 65829739 传真 +86 (010) 6788 5057

Quick Overview for DHRS9 抗体 (AA 23-319) (ABIN7149627)

抗原

See all DHRS9 抗体
DHRS9 (Dehydrogenase/reductase (SDR Family) Member 9 (DHRS9))

适用

  • 32
  • 14
  • 14
  • 2
  • 1
  • 1
  • 1
  • 1
  • 1

宿主

  • 26
  • 6

克隆类型

  • 28
  • 4
多克隆

标记

  • 18
  • 3
  • 3
  • 2
  • 1
  • 1
  • 1
  • 1
  • 1
  • 1
This DHRS9 antibody is un-conjugated

应用范围

  • 19
  • 15
  • 7
  • 5
  • 4
  • 2
  • 2
  • 1
  • 1
  • 1
  • 1
ELISA, Immunohistochemistry (IHC), Immunofluorescence (IF)
  • 抗原表位

    • 8
    • 4
    • 1
    • 1
    • 1
    • 1
    • 1
    AA 23-319

    原理

    DHRS9 Antibody

    纯化方法

    Protein G purified

    纯度

    >95 %

    免疫原

    Recombinant Human Dehydrogenase/reductase SDR family member 9 protein (23-319AA)

    亚型

    IgG
  • 应用备注

    Optimal working dilution should be determined by the investigator.

    限制

    仅限研究用
  • 状态

    Liquid

    缓冲液

    Preservative: 0.03 % Proclin 300
    Constituents: 50 % Glycerol, 0.01M PBS, PH 7.4

    储存液

    ProClin

    注意事项

    This product contains ProClin: a POISONOUS AND HAZARDOUS SUBSTANCE which should be handled by trained staff only.

    储存条件

    -20 °C,-80 °C

    储存方法

    Upon receipt, store at -20°C or -80°C. Avoid repeated freeze.
  • 抗原

    DHRS9 (Dehydrogenase/reductase (SDR Family) Member 9 (DHRS9))

    别名

    DHRS9

    背景

    Background: Involved in the targeting and/or fusion of transport vesicles to their target membrane during transport of proteins from the early endosome to the lysosome. Required for heterotypic fusion of late endosomes with lysosomes and homotypic lysosomal fusion. Required for calcium regulated lysosomal exocytosis. Involved in the export of chylomicrons from the endoplasmic reticulum to the cis Golgi. Required for exocytosis of mediators during eosinophil and neutrophil degranulation, and target cell killing by natural killer cells. Required for focal exocytosis of late endocytic vesicles during phagosome formation.

    Aliases: 3 alpha hydroxysteroid dehydrogenase antibody, 3-@alpha-HSD antibody, 3-@alpha-hydroxysteroid dehydrogenase antibody, 3-alpha hydroxysteroid dehydrogenase antibody, 3-alpha-HSD antibody, 3alpha HSD antibody, Dehydrogenase/reductase SDR family member 9 antibody, DHRS9 antibody, DHRS9_HUMAN antibody, NADP dependent retinol dehydrogenase/reductase antibody, NADP-dependent retinol dehydrogenase/reductase antibody, RDH-E2 antibody, Rdh15 antibody, RDHE2 antibody, RDHL antibody, RDHTBE antibody, retinol dehydrogenase homolog antibody, Retinol dehydrogenase, tracheobronchiol epithelail cell-specific antibody, RETSDR8 antibody, SDR family, member 9 antibody, SDR9C4 antibody, short chain dehydrogenase/reductase family 9 antibody, short chain dehydrogenase/reductase family 9C, member 4 antibody, Short chain dehydrogenase/reductase retSDR8 antibody, Short-chain dehydrogenase/reductase retSDR8 antibody

    UniProt

    Q9BPW9

    途径

    C21-Steroid Hormone Metabolic Process
You are here: