电话:
+86 (0512) 65829739
传真:
+86 (010) 6788 5057
电子邮件:
orders@antibodies-online.cn

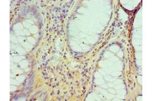
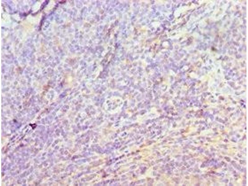
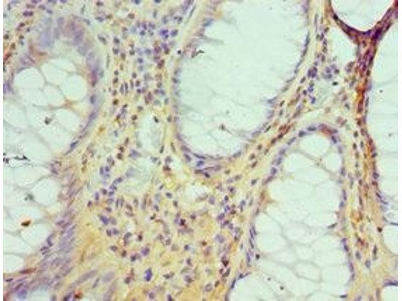
DIDO1 抗体 (AA 1-300)

This 兔 多克隆 antibody specifically detects DIDO1 in ELISA 和 IHC. It exhibits reactivity toward 人.
产品编号 ABIN7149566
发货至: 中国
Contact our Customer Service for availability and price in your country. Contact Info

Our Local Distributor

中国
北京 101111
No. 88 KeChuang 6th Street
Beijing Economic Technological Development Area
Room 801-803
4A Biotech Co.,Ltd.
Tel +86 (0512) 65829739 传真 +86 (010) 6788 5057

Quick Overview for DIDO1 抗体 (AA 1-300) (ABIN7149566)

抗原

See all DIDO1 抗体
DIDO1 (Death Inducer-Obliterator 1 (DIDO1))

适用

  • 33
  • 14
  • 9
  • 6
  • 5
  • 5
  • 5
  • 4
  • 4
  • 3
  • 3
  • 1
  • 1

宿主

  • 27
  • 6

克隆类型

  • 30
  • 3
多克隆

标记

  • 26
  • 1
  • 1
  • 1
  • 1
  • 1
  • 1
  • 1
This DIDO1 antibody is un-conjugated

应用范围

  • 24
  • 11
  • 8
  • 5
  • 3
  • 1
  • 1
  • 1
  • 1
ELISA, Immunohistochemistry (IHC)
  • 抗原表位

    • 7
    • 3
    • 3
    • 2
    • 1
    • 1
    • 1
    • 1
    • 1
    • 1
    • 1
    AA 1-300

    原理

    DIDO1 Antibody

    纯化方法

    Antigen Affinity Purified

    免疫原

    Recombinant Human Death-inducer obliterator 1 protein (1-300AA)

    亚型

    IgG
  • 应用备注

    Optimal working dilution should be determined by the investigator.

    限制

    仅限研究用
  • 状态

    Liquid

    缓冲液

    PBS with 0.02 % sodium azide, 50 % glycerol, pH 7.3.

    储存液

    Sodium azide

    注意事项

    This product contains Sodium azide: a POISONOUS AND HAZARDOUS SUBSTANCE which should be handled by trained staff only.

    储存条件

    -20 °C,-80 °C

    储存方法

    Upon receipt, store at -20°C or -80°C. Avoid repeated freeze.
  • 抗原

    DIDO1 (Death Inducer-Obliterator 1 (DIDO1))

    别名

    DIDO1

    背景

    Background: Putative transcription factor, weakly pro-apoptotic when overexpressed (By similarity). Tumor suppressor. Required for early embryonic stem cell development. Isoform 2: Displaces isoform 4 at the onset of differentiation, required for repression of stemness genes.

    Aliases: DIDO1 antibody, C20orf158 antibody, DATF1 antibody, KIAA0333Death-inducer obliterator 1 antibody, DIO-1 antibody, hDido1 antibody, Death-associated transcription factor 1 antibody, DATF-1 antibody

    UniProt

    Q9BTC0

    途径

    Hormone Activity
You are here: