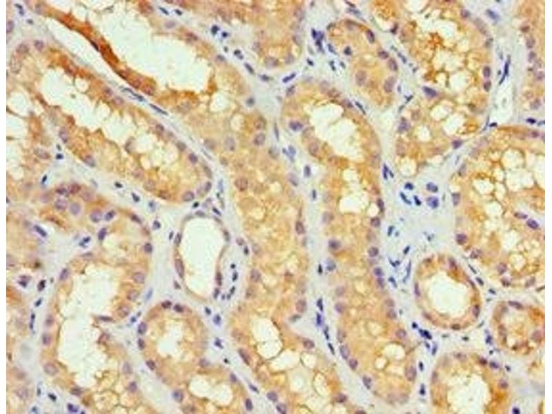
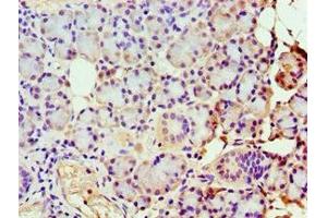
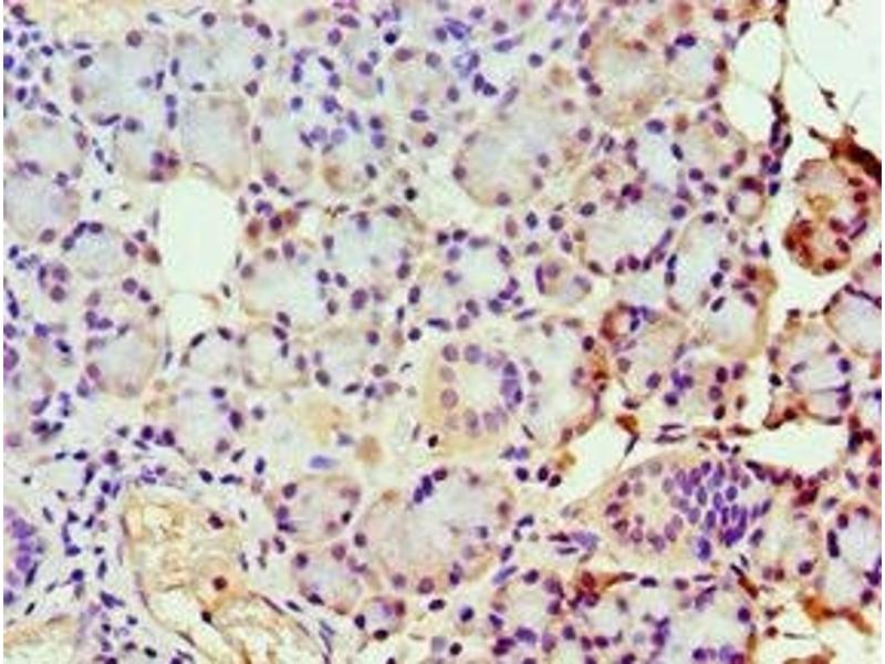
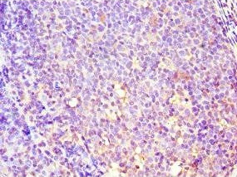
GBA3 抗体 (AA 1-162)
Our Local Distributor
北京 101111
Quick Overview for GBA3 抗体 (AA 1-162) (ABIN7149383)
抗原
See all GBA3 抗体适用
宿主
克隆类型
标记
应用范围
-
-
抗原表位
- AA 1-162
-
原理
- GBA3 Antibody
-
纯化方法
- Antigen Affinity Purified
-
免疫原
- Recombinant Human Cytosolic beta-glucosidase protein (1-162AA)
-
亚型
- IgG
-
-
-
-
应用备注
- Optimal working dilution should be determined by the investigator.
-
限制
- 仅限研究用
-
-
-
状态
- Liquid
-
缓冲液
- PBS with 0.02 % sodium azide, 50 % glycerol, pH 7.3.
-
储存液
- Sodium azide
-
注意事项
- This product contains Sodium azide: a POISONOUS AND HAZARDOUS SUBSTANCE which should be handled by trained staff only.
-
储存条件
- -20 °C,-80 °C
-
储存方法
- Upon receipt, store at -20°C or -80°C. Avoid repeated freeze.
-
-
- GBA3 (Glucosidase, Beta, Acid 3 (Cytosolic) (GBA3))
-
别名
- GBA3
-
背景
-
Background: Glycosidase probably involved in the intestinal absorption and metabolism of dietary flavonoid glycosides. Able to hydrolyze a broad variety of glycosides including phytoestrogens, flavonols, flavones, flavanones and cyanogens. Possesses beta-glycosylceramidase activity and may be involved in a nonlysosomal catabolic pathway of glycosylceramide.
Aliases: CBG antibody, CBGL1 antibody, Cytosolic beta glucosidase antibody, Cytosolic beta glucosidase like protein 1 antibody, Cytosolic beta-glucosidase antibody, Cytosolic beta-glucosidase-like protein 1 antibody, GBA3 antibody, GBA3_HUMAN antibody, GLUC antibody, Glucosidase beta acid 3 antibody, Klotho related protein antibody, KLRP antibody
-
UniProt
- Q9H227
抗原
-