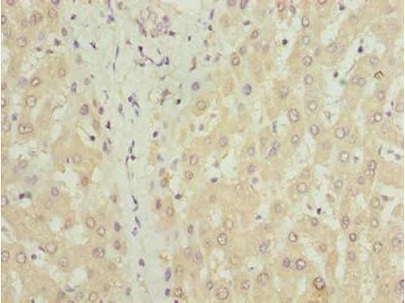
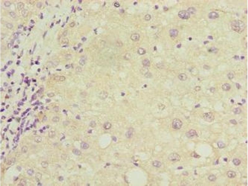
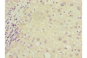
COX17 抗体 (AA 1-63)
Our Local Distributor
北京 101111
Quick Overview for COX17 抗体 (AA 1-63) (ABIN7149150)
抗原
See all COX17 抗体适用
宿主
克隆类型
标记
应用范围
-
-
抗原表位
- AA 1-63
-
原理
- COX17 Antibody
-
纯化方法
- Protein G purified
-
纯度
- >95 %
-
免疫原
- Recombinant Human Cytochrome c oxidase copper chaperone protein (1-63AA)
-
亚型
- IgG
-
-
-
-
应用备注
- Optimal working dilution should be determined by the investigator.
-
限制
- 仅限研究用
-
-
-
状态
- Liquid
-
缓冲液
-
Preservative: 0.03 % Proclin 300
Constituents: 50 % Glycerol, 0.01M PBS, PH 7.4 -
储存液
- ProClin
-
注意事项
- This product contains ProClin: a POISONOUS AND HAZARDOUS SUBSTANCE which should be handled by trained staff only.
-
储存条件
- -20 °C,-80 °C
-
储存方法
- Upon receipt, store at -20°C or -80°C. Avoid repeated freeze.
-
-
- COX17 (COX17 Cytochrome C Oxidase Assembly Protein 17 (COX17))
-
别名
- COX17
-
背景
-
Background: Copper metallochaperone essential for the assembly of the mitochondrial respiratory chain complex IV (CIV), also known as cytochrome c oxidase. Binds two copper ions and delivers them to the metallochaperone SCO1 which transports the copper ions to the Cu(A) site on the cytochrome c oxidase subunit II (MT-CO2/COX2).
Aliases: COX 17 antibody, COX17 antibody, COX17 cytochrome c oxidase assembly homolog (S. cerevisiae) antibody, COX17 cytochrome c oxidase assembly homolog antibody, COX17 homolog cytochrome c oxidase assembly protein antibody, COX17_HUMAN antibody, cytochrome c oxidase assembly protein cox17 homolog antibody, Cytochrome c oxidase copper chaperone antibody, Human homolog of yeast mitochondrial copper recruitment antibody, MGC104397 antibody, MGC117386 antibody, OTTHUMP00000215284 antibody, OTTHUMP00000215285 antibody
-
UniProt
- Q14061
抗原
-