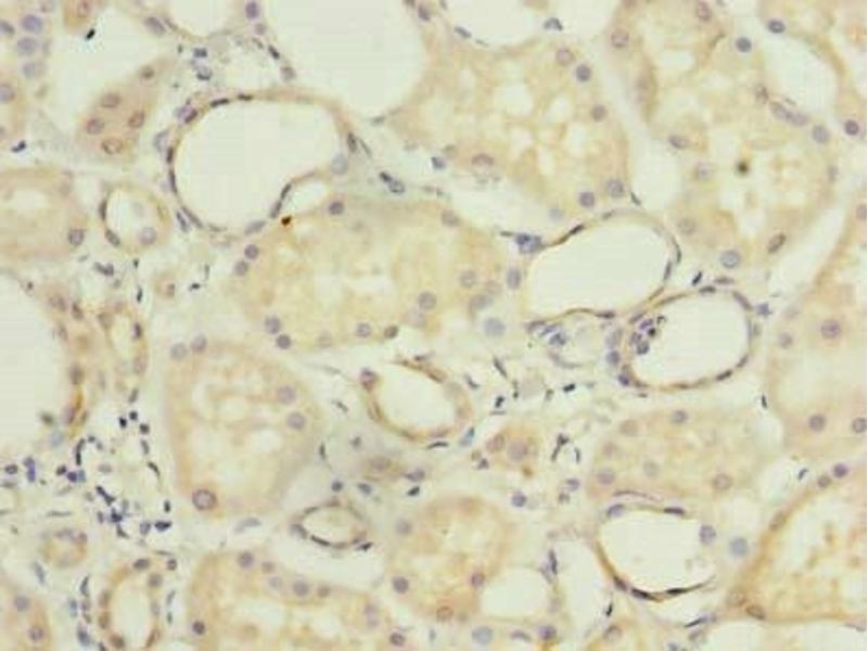
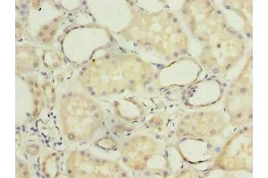
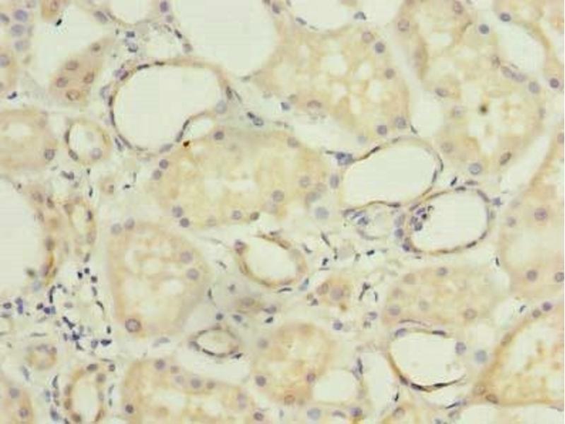
COX11 抗体 (AA 115-276)
Our Local Distributor
北京 101111
Quick Overview for COX11 抗体 (AA 115-276) (ABIN7149138)
抗原
See all COX11 抗体适用
宿主
克隆类型
标记
应用范围
-
-
抗原表位
- AA 115-276
-
原理
- COX11 Antibody
-
纯化方法
- Protein G purified
-
纯度
- >95 %
-
免疫原
- Recombinant Human Cytochrome c oxidase assembly protein COX11, mitochondrial protein (115-276AA)
-
亚型
- IgG
-
-
-
-
应用备注
- Optimal working dilution should be determined by the investigator.
-
限制
- 仅限研究用
-
-
-
状态
- Liquid
-
缓冲液
-
Preservative: 0.03 % Proclin 300
Constituents: 50 % Glycerol, 0.01M PBS, PH 7.4 -
储存液
- ProClin
-
注意事项
- This product contains ProClin: a POISONOUS AND HAZARDOUS SUBSTANCE which should be handled by trained staff only.
-
储存条件
- -20 °C,-80 °C
-
储存方法
- Upon receipt, store at -20°C or -80°C. Avoid repeated freeze.
-
-
- COX11 (COX11 Cytochrome C Oxidase Assembly (COX11))
-
别名
- COX11
-
背景
-
Background: Exerts its effect at some terminal stage of cytochrome c oxidase synthesis, probably by being involved in the insertion of the copper B into subunit I.
Aliases: COX11 antibody, COX11 homolog antibody, COX11 homolog, cytochrome c oxidase assembly protein (yeast) antibody, COX11_HUMAN antibody, COX11P antibody, Cytochrome c oxidase assembly protein COX11 antibody, Cytochrome c oxidase assembly protein COX11, mitochondrial antibody, Cytochrome c oxidase subunit 11 antibody, mitochondrial antibody
-
UniProt
- Q9Y6N1
-
途径
- Regulation of Carbohydrate Metabolic Process
抗原
-