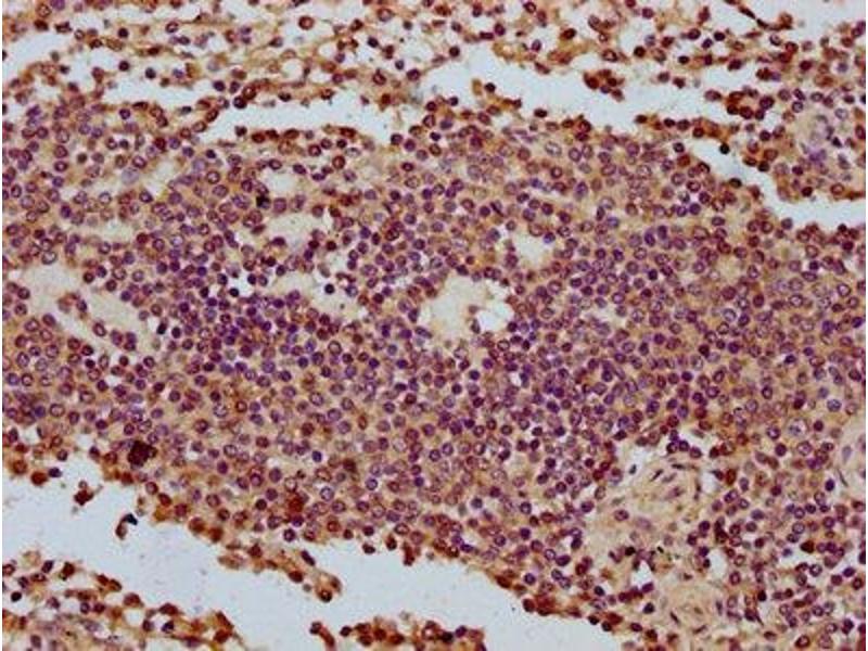
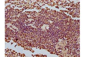
CCDC56 抗体 (AA 2-57)
Our Local Distributor
北京 101111
Quick Overview for CCDC56 抗体 (AA 2-57) (ABIN7149130)
抗原
See all CCDC56 (COA3) 抗体适用
宿主
克隆类型
标记
应用范围
-
-
抗原表位
- AA 2-57
-
原理
- COA3 Antibody
-
纯化方法
- Protein G purified
-
纯度
- >95 %
-
免疫原
- Recombinant Human Cytochrome c oxidase assembly factor 3 homolog, mitochondrial protein (2-57AA)
-
亚型
- IgG
-
-
-
-
应用备注
- Optimal working dilution should be determined by the investigator.
-
限制
- 仅限研究用
-
-
-
状态
- Liquid
-
缓冲液
-
Preservative: 0.03 % Proclin 300
Constituents: 50 % Glycerol, 0.01M PBS, pH 7.4 -
储存液
- ProClin
-
注意事项
- This product contains ProClin: a POISONOUS AND HAZARDOUS SUBSTANCE which should be handled by trained staff only.
-
储存条件
- -20 °C,-80 °C
-
储存方法
- Upon receipt, store at -20°C or -80°C. Avoid repeated freeze.
-
-
- CCDC56 (COA3) (Cytochrome C Oxidase Assembly Factor 3 (COA3))
-
别名
- COA3
-
背景
-
Background: Core component of the MITRAC (mitochondrial translation regulation assembly intermediate of cytochrome c oxidase complex) complex, that regulates cytochrome c oxidase assembly. MITRAC complexes regulate both translation of mitochondrial encoded components and assembly of nuclear-encoded components imported in mitochondrion. Required for efficient translation of MT-CO1 and mitochondrial respiratory chain complex IV assembly.
Aliases: CCD56_HUMAN antibody, CCDC56 antibody, Coiled-coil domain-containing protein 56 antibody, HSPC009 antibody
-
UniProt
- Q9Y2R0
抗原
-