电话:
+86 (0512) 65829739
传真:
+86 (010) 6788 5057
电子邮件:
orders@antibodies-online.cn

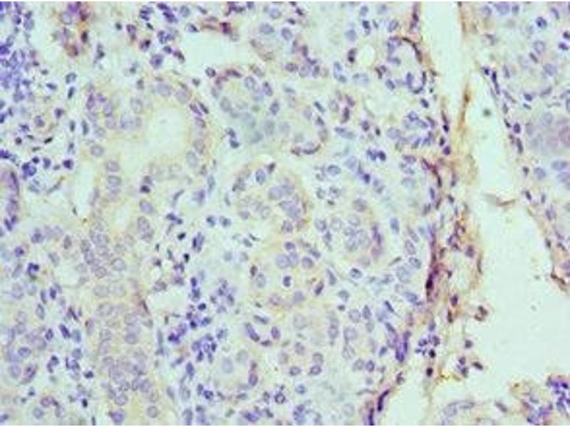
CST1 抗体 (AA 20-141)

The 兔 多克隆 anti-CST1 antibody (ABIN7149007) specifically detects CST1 in IHC 和 ELISA. The antibody is reactive with 人 samples.
产品编号 ABIN7149007
发货至: 中国
Contact our Customer Service for availability and price in your country. Contact Info

Our Local Distributor

中国
北京 101111
No. 88 KeChuang 6th Street
Beijing Economic Technological Development Area
Room 801-803
4A Biotech Co.,Ltd.
Tel +86 (0512) 65829739 传真 +86 (010) 6788 5057

Quick Overview for CST1 抗体 (AA 20-141) (ABIN7149007)

抗原

See all CST1 抗体
CST1 (Cystatin SN (CST1))

适用

  • 30
  • 1
  • 1

宿主

  • 23
  • 7

克隆类型

  • 25
  • 5
多克隆

标记

  • 17
  • 2
  • 2
  • 1
  • 1
  • 1
  • 1
  • 1
  • 1
  • 1
  • 1
  • 1
This CST1 antibody is un-conjugated

应用范围

  • 16
  • 10
  • 6
  • 6
  • 5
  • 4
  • 3
  • 2
  • 2
  • 1
Immunohistochemistry (IHC), ELISA
  • 抗原表位

    • 10
    • 3
    • 2
    • 1
    • 1
    • 1
    • 1
    • 1
    AA 20-141

    原理

    CST1 Antibody

    纯化方法

    Antigen Affinity Purified

    免疫原

    Recombinant Human Cystatin-SN protein (20-141AA)

    亚型

    IgG
  • 应用备注

    Optimal working dilution should be determined by the investigator.

    限制

    仅限研究用
  • 状态

    Liquid

    缓冲液

    PBS with 0.02 % sodium azide, 50 % glycerol, pH 7.3.

    储存液

    Sodium azide

    注意事项

    This product contains Sodium azide: a POISONOUS AND HAZARDOUS SUBSTANCE which should be handled by trained staff only.

    储存条件

    -20 °C,-80 °C

    储存方法

    Upon receipt, store at -20°C or -80°C. Avoid repeated freeze.
  • 抗原

    CST1 (Cystatin SN (CST1))

    别名

    CST1

    背景

    Background: Human saliva appears to contain several cysteine proteinase inhibitors that are immunologically related to cystatin S but that differ in their specificity due to amino acid sequence differences. Cystatin SN, with a pI of 7.5, is a much better inhibitor of papain and dipeptidyl peptidase I than is cystatin S, although both inhibit ficin equally well.

    Aliases: CST1 antibody, Cystain SAI antibody, Cystain-SA-I antibody, Cystatin 1 antibody, Cystatin-1 antibody, Cystatin-SN antibody, Cystatin1 antibody, Cysteine proteinase inhibitor, type 2 family antibody, CYTN antibody, CYTN_HUMAN antibody, Salivary cystatin SA1 antibody, Salivary cystatin-SA-1 antibody

    UniProt

    P01037
You are here: