电话:
+86 (0512) 65829739
传真:
+86 (010) 6788 5057
电子邮件:
orders@antibodies-online.cn

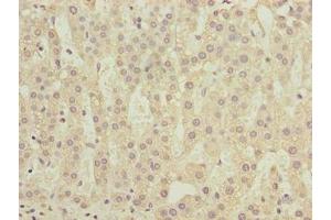
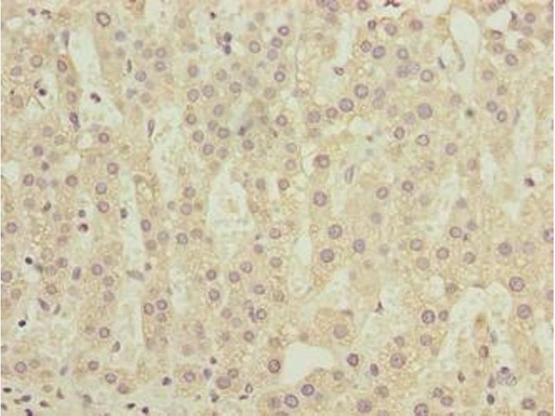
COMMD2 抗体 (AA 5-199)

The 兔 多克隆 anti-COMMD2 antibody (ABIN7148308) specifically detects COMMD2 in ELISA 和 IHC. The antibody is reactive with 人 samples.
产品编号 ABIN7148308
发货至: 中国
Contact our Customer Service for availability and price in your country. Contact Info

Our Local Distributor

中国
北京 101111
No. 88 KeChuang 6th Street
Beijing Economic Technological Development Area
Room 801-803
4A Biotech Co.,Ltd.
Tel +86 (0512) 65829739 传真 +86 (010) 6788 5057

Quick Overview for COMMD2 抗体 (AA 5-199) (ABIN7148308)

抗原

See all COMMD2 抗体
COMMD2 (COMM Domain Containing 2 (COMMD2))

适用

  • 8
  • 3
  • 3
  • 2
  • 2
  • 2
  • 2
  • 2
  • 1
  • 1
  • 1
  • 1
  • 1
  • 1
  • 1

宿主

  • 8

克隆类型

  • 8
多克隆

标记

  • 4
  • 2
  • 1
  • 1
This COMMD2 antibody is un-conjugated

应用范围

ELISA, Immunohistochemistry (IHC)
  • 抗原表位

    • 4
    • 2
    • 1
    • 1
    AA 5-199

    原理

    COMMD2 Antibody

    纯化方法

    Protein G purified

    纯度

    >95 %

    免疫原

    Recombinant Human COMM domain-containing protein 2 protein (5-199AA)

    亚型

    IgG
  • 应用备注

    Optimal working dilution should be determined by the investigator.

    限制

    仅限研究用
  • 状态

    Liquid

    缓冲液

    Preservative: 0.03 % Proclin 300
    Constituents: 50 % Glycerol, 0.01M PBS, PH 7.4

    储存液

    ProClin

    注意事项

    This product contains ProClin: a POISONOUS AND HAZARDOUS SUBSTANCE which should be handled by trained staff only.

    储存条件

    -20 °C,-80 °C

    储存方法

    Upon receipt, store at -20°C or -80°C. Avoid repeated freeze.
  • 抗原

    COMMD2 (COMM Domain Containing 2 (COMMD2))

    别名

    COMMD2

    背景

    Background: May modulate activity of cullin-RING E3 ubiquitin ligase (CRL) complexes (PubMed:21778237). May down-regulate activation of NF-kappa-B (PubMed:15799966).

    Aliases: COMMD2 antibody, HSPC042 antibody, My004COMM domain-containing protein 2 antibody

    UniProt

    Q86X83
You are here: