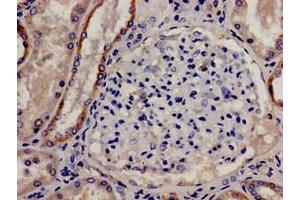
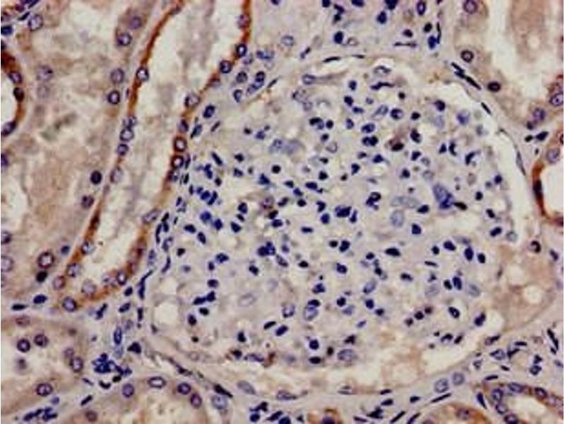
CDSE1 抗体 (AA 433-630)
Our Local Distributor
北京 101111
Quick Overview for CDSE1 抗体 (AA 433-630) (ABIN7148189)
抗原
See all CDSE1 抗体适用
宿主
克隆类型
标记
应用范围
-
-
抗原表位
- AA 433-630
-
原理
- CSDE1 Antibody
-
纯化方法
- Protein G purified
-
纯度
- >95 %
-
免疫原
- Recombinant Human Cold shock domain-containing protein E1 protein (433-630AA)
-
亚型
- IgG
-
-
-
-
应用备注
- Optimal working dilution should be determined by the investigator.
-
限制
- 仅限研究用
-
-
-
状态
- Liquid
-
缓冲液
-
Preservative: 0.03 % Proclin 300
Constituents: 50 % Glycerol, 0.01M PBS, pH 7.4 -
储存液
- ProClin
-
注意事项
- This product contains ProClin: a POISONOUS AND HAZARDOUS SUBSTANCE which should be handled by trained staff only.
-
储存条件
- -20 °C,-80 °C
-
储存方法
- Upon receipt, store at -20°C or -80°C. Avoid repeated freeze.
-
-
- CDSE1 (Cold Shock Domain Containing E1, RNA-Binding (CDSE1))
-
别名
- CSDE1
-
背景
-
Background: RNA-binding protein. Required for internal initiation of translation of human rhinovirus RNA. May be involved in translationally coupled mRNA turnover. Implicated with other RNA-binding proteins in the cytoplasmic deadenylation/translational and decay interplay of the FOS mRNA mediated by the major coding-region determinant of instability (mCRD) domain.
Aliases: Cold shock domain containing E1 RNA binding antibody, Cold shock domain containing protein E1 antibody, Cold shock domain-containing protein E1 antibody, Csde1 antibody, CSDE1_HUMAN antibody, D1S155E antibody, DKFZp779B0247 antibody, DKFZp779J1455 antibody, FLJ26882 antibody, N-ras upstream gene protein antibody, NRAS related antibody, Nras upstream gene protein antibody, NRU antibody, Protein UNR antibody, RP5 1000E10.3 antibody, UNR antibody, UNR protein antibody, Upstream of NRAS antibody
-
UniProt
- O75534
-
途径
- SARS-CoV-2 Protein Interactome
抗原
-