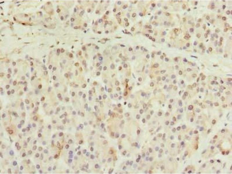
CCDC116 抗体 (AA 1-300)
Our Local Distributor
北京 101111
Quick Overview for CCDC116 抗体 (AA 1-300) (ABIN7148076)
抗原
See all CCDC116 抗体适用
宿主
克隆类型
标记
应用范围
-
-
抗原表位
- AA 1-300
-
原理
- CCDC116 Antibody
-
纯化方法
- Antigen Affinity Purified
-
免疫原
- Recombinant Human Coiled-coil domain-containing protein 116 protein (1-300AA)
-
亚型
- IgG
-
-
-
-
应用备注
- Optimal working dilution should be determined by the investigator.
-
限制
- 仅限研究用
-
-
-
状态
- Liquid
-
缓冲液
-
Preservative: 0.03 % Proclin 300
Constituents: 50 % Glycerol, 0.01M PBS, PH 7.4 -
储存液
- ProClin
-
注意事项
- This product contains ProClin: a POISONOUS AND HAZARDOUS SUBSTANCE which should be handled by trained staff only.
-
储存条件
- -20 °C,-80 °C
-
储存方法
- Upon receipt, store at -20°C or -80°C. Avoid repeated freeze.
-
-
- CCDC116 (Coiled-Coil Domain Containing 116 (CCDC116))
-
别名
- CCDC116
-
背景
- CCDC116 antibody, Coiled-coil domain-containing protein 116 antibody
-
UniProt
- Q8IYX3
抗原
-